Фолликулярная киста яичника представляет собой новообразование доброкачественного характера, относящееся к группе функциональных кист, которые образуются в связи с нарушениями процессов овуляции. Размеры фолликулярной кисты обычно не превышают 10 см.
Овуляционная стадия фолликулогенеза (рост и созревание фолликулов) нарушается при не наступлении овуляции. В результате чего происходит патологический рост фолликула. Киста яичника фолликулярная является самой распространенной формой кистоза яичников (до 80%).
Развитие фолликулярной кисты не сопровождается неприятной симптоматикой, и до поры до времени никак не беспокоит женщину. Обычно представительницы прекрасного пола даже не подозревают о наличии у себя этой патологии и узнают о ней только вовремя очередного осмотра гинекологом.
Что это такое?
Почему появляется фолликулярная киста яичника, и что это такое? Фолликулярная киста — доброкачественное овариальное новообразование, которое развивается из доминантного фолликула в случае отсутствия выхода из него яйцеклетки. Увеличение размера образования обусловливается транссудированием жидкого содержимого из прилежащих кровеносных и лимфатических сосудов или в случае продолжения выработки секрета клетками, входящими в состав гранулезной эпителиальной ткани.
Как правило, кисты размером до 4-5 см рассасываются самостоятельно во время следующей менструации или нескольких последующих циклов. Как такового лечения фолликулярной кисты правого или левого яичника в данном случае не проводится.
Требует лечения препаратами фолликулярная киста яичника, которая продолжает расти и в размерах превышает 5-6 см. Если медикаментозная терапия не дает результатов и образование продолжает аномально развиваться, требуется хирургическое вмешательство.
Причины
Этиология кисты из фолликулярной ткани не совсем изучена. Предполагается, что, как и большинство овариальных новообразований, фолликулярная киста яичника обусловлена гормональными причинами.
Среди факторов, которые могут спровоцировать или вызвать нарушение циклического характера менструального периода и непосредственно процесса овуляции, следует отметить:
- Внешние неблагоприятные воздействия (физические перегрузки, стресс и нервное переутомление, переохлаждение организма или перегрев и др.);
- Внутренние факторы патологического воздействия (воспаление, инфекция, ЗППП, болезни, функциональные расстройства).
Все эти состояния сопровождаются гормональными сбоями, которые задерживают овуляцию и способствуют дальнейшему росту фолликула.

Симптомы фолликулярной кисты яичника
Яркость симптоматики на прямую связана с активностью выработки гормонов эстрогена и наличием хронических заболеваний репродуктивной системы женщины. Это такие патологии как:
- аднексит (воспаление тканей придатков);
- эндометриоз,
- миома матки.
В большинстве случаев при фолликулярной кисте яичников единственным симптомом является задержка менструации. Она может длиться от 5 до 21 суток, а иногда и дольше.
Сопутствующими при фолликулярной кисте яичника симптомами могут быть:
- тянущая боль в паховой области, распространяющаяся на поясницу и нижнюю конечность;
- дизурические явления (частое мочевыделение);
- нарушения функции кишечника (вздутие, диарея, запоры);
- выделения кровянистого характера между менструациями;
- боли и дискомфорт усиливается во 2 фазе менструального цикла, после физической нагрузки, после секса, длительной ходьбе, при резких движениях (кувырке, наклоне, резком повороте)
Киста, размеры которой не превышают 4 см, и с активной выработкой эстрогенов не дает о себе знать никакой неприятной симптоматикой. При этом в большинстве случаев рассасывается самостоятельно на фоне гормональной активности при наступлении месячных.
При величине кисты, превышающей 8 см, она вызывает боли внизу живота, в подвздошной области. Если боли при этой патологии локализуются справа, то причина — фолликулярная киста правого яичника. Аналогичную симптоматику, но с левосторонней локализацией патологического процесса и жалобами на боли слева, вызовет фолликулярная киста левого яичника. Соответственно, вовлеченным в патологический процесс окажется только левый яичник.
Как видно, симптомы фолликулярной кисты яичника являются достаточно общими и могут быть спровоцированы иными заболеваниями женской мочеполовой системы. В связи с этим важно проведение детальной диагностики для грамотной дифференциации болезни.
Разрыв фолликулярной кисты яичника
Разрыв фолликулярной кисты происходит спонтанно, чаще в середине месячного цикла в период овуляции. Кистозный фолликул увеличивается параллельно совместно с другим, нормальным активным фолликулом, выполняющим функцию формирования ооцита.
Признаки разрыва фолликулярной кисты:
- острая, кинжальная боль сбоку, внизу живота, в зоне локализации кисты;
- боль быстро становится диффузной, разлитой;
- падение артериального давления и пульса;
- напряженный живот;
- холодный пот;
- тошнота, рвота;
- возможен обморок.
Первое, что делают в стационарных условиях — это останавливают кровотечение, затем удаляется киста в пределах здоровых тканей.. Как правило, сам яичник не оперируется, резекция или его удаление возможны только в крайних случаях.
Кровоизлияние в полость кисты
Если разрыв фолликулярной кисты локализуется рядом с сосудом, то может произойти внезапное кровоизлияние в яичник с последующим кровотечением в полость брюшины или малого таза (апоплексия яичника).
При внутрибрюшном кровотечении кожа и слизистые бледнеют, возникает учащенное сердцебиение, снижается артериальное давление. Апоплексия яичника обычно может произойти в случае быстрого роста фолликулярной кисты в сочетании с неожиданным изменением положения тела, резким движением, натуживанием.
Признаки перекрута фолликулярной кисты яичника
При падении, резком движении, после секса возможен полный или частичный перекрут в не зависимости от размера кисты, при этом происходит сдавливание нервно-сосудистого пучка яичника.
Характеризуется это такими симптомами:
- учащенное сердцебиение — тахикардия, чувство страха;
- головокружение, общая слабость;
- падение артериального давления, холодный пот;
- бледность кожных покровов;
- тошнота, рвота, работа кишечника приостанавливается;
- небольшое повышение температуры тела;
- очень интенсивная боль с одной стороны — справа или слева, где располагается новообразования, ни смена положения, ни покой не способствуют затиханию боли.
Если возникло осложнение фолликулярной кисты (перекрут, разрыв, кровоизлияние), лечение требуется незамедлительно, и оно может быть только хирургическим.
Диагностика
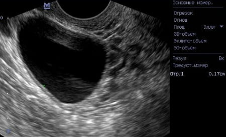
Диагностирование данного вида кисты выполняется на основании данных влагалищно-брюшностеночного исследования, лапароскопии и эхографии.
Во время гинекологического обследования кпереди и сбоку от матки обнаруживается округлая опухоль тугоэластической консистенции с гладкой поверхностью. При ультразвуковом исследовании определяется однокамерное шаровидное образование 3-8 см в диаметре с анэхогенным однородным содержимым. При выполнении допплерометрии обнаруживаются расположенные по периферии области кровотока с невысокой скоростью.

Фолликулярная киста во время беременности
На 12 неделе всем беременным женщинам делают УЗИ. Если в ходе исследования диагностирована фолликулярная киста, и она малого размера, обычно гинеколог принимает решение подождать до 17ой-18ой недели, а затем провести лапароскопическое удаление кисты. Операция на более раннем сроке может негативно отразиться на течении беременности и спровоцировать выкидыш.
Однако если обнаруженная фолликулярная киста имеет ножку, то независимо от срока беременности такое новообразование следует удалить. Растущий плод и изменение положения внутренних органов почти наверняка приведут к перекруту ножки кисты и её последующему некрозу. То есть, тут речь идёт уже не только о сохранении беременности, но и о сохранении жизни и здоровья матери.
Как лечить фолликулярную кисту яичника
Лечение фолликулярной кисты яичника выбирается в зависимости от размера новообразования и интенсивности прогрессирования заболевания.
- Выжидательная терапия. Применяется, как правило, в случае если киста в диаметре не превышает 4 см и есть вероятность ее саморассасывания. В таком случае лечение фолликулярной кисты яичника, как таковое, не применяется, а терапевтический процесс замещается наблюдением. Время наблюдения не должно превышать трех месяцев. Если за это время фолликулярная киста левого яичника или правого яичника, осталась без изменений или продолжила рост, то необходимо выбрать иной способ терапии.
- В случае, когда фолликулярная киста рецидивирует или увеличивается в размерах, женщине назначают лечение комбинированными оральными контрацептивами. Как правило, этот метод лечения показан молодым девушкам, которые еще не рожали. Кроме контрацептивных препаратов обязательно назначается противовоспалительное лечение, комплекс поливитаминных препаратов и средства гомеопатии.
- Хирургическое вмешательство. Конечно, если новообразование будет и дальше прогрессировать, диаметр будет более 8 см, в течение 3 месяцев не произойдет ее регресс, а также в случаях рецидивирующей кисты врачи будут настаивать на оперативном вмешательстве. Лечение хирургическим путем заключается в проведении лапароскопии, вылущиванием кисты, резекцией яичника или с ушиванием его стенок.
Успех проводимой терапии коррелируется с размерами фолликулярной кисты: если проводимое с целью контроля ультразвуковое исследование констатирует уменьшение размеров кисты, терапия считается успешной и может быть продлена до ее полного исчезновения.
Операция
Удаление кисты проводится планово, после предварительной подготовки пациентки к данной операции. Эта процедура достаточно простая и малотравматичная. Согласно клинической ситуации, фолликулярная киста яичника может быть ликвидирована несколькими способами.
- Самым распространенным является вылущивание кисты (кистэктомия). При этом удаляется только капсула и содержимое кисты, а все окружающие кисту здоровые ткани сохраняются.
- Осложненные кисты требуют не только удаления кисты, но и поврежденной окружающей ткани, поэтому удаляется «кусочек» яичника в виде клина (клиновидная резекция).
- Если вследствие осложнений фолликулярной кисты в яичнике произошли необратимые изменения, проводится аднексэктомия (удаление всего яичника).
Лечение после операции направлено на восстановление нормальной функции яичников. Используются комбинированные оральные контрацептивы, витамины. Также желательно устранить психотравмирующие факторы, избавиться от стрессов. Важен полноценный сон и отдых. Нужно отказаться от горячих ванн. Загорать на пляже или в солярии таким пациенткам не рекомендуется.

Прогноз и профилактика
Для предотвращения образования фолликулярной кисты яичника необходимо своевременное лечение воспалительной и дисгормональной патологии яичников, профилактическое наблюдение у гинеколога. При рецидивирующем течении кисты требуется выявление и устранение причины патологического состояния.
Прогноз заболевания благоприятный. В большинстве случаев патология хорошо поддается лечению. Однако не исключены случаи рецидивов, когда фолликулярная киста через некоторое время появляется вновь, в том же или противоположном яичнике. Повторные случаи требуют тщательного наблюдения и выявления вызвавшей их причины.
Чтобы с таким в принципе не сталкиваться, если у вас склонность к этому есть, нужно регулярно заниматься профилактикой. Пить индол 3 карбинол. Но это действующее вещество….препараты на его основе, особенно иностранные, сейчас стоят заоблачно. Самый выгодный вариант конечно же индол форте эвалар. Наш отечественный, цена приятная и эффект просто супер. Я покупаю в интернет-магазине фитомаркет.