Стафилококк в горле — это присутствие в слизистой оболочке глотки или гортани бактерии, способной вызвать инфекционно-воспалительный процесс. Микроб может существовать там в качестве условно-патогенной микрофлоры, то есть не вызывая заболевания, а может стать причиной воспалительной реакции.
Наиболее опасным считается золотистый стафилококк, так как он чаще остальных видов (эпидермального и сапрофитного) вызывает заболевание и является наиболее агрессивным.
Наиболее подвержены инфекции люди преклонного возраста или со слабым иммунитетом, а также маленькие дети. Ее носителем может быть каждый, при этом, можно даже не догадываться о своем скрытом недуге.
Что это такое?
Стафилококк — это бактерия, которая относится к семейству кокков. Довольно устойчива к воздействиям окружающей среды. На предметах бактерия может прожить до полугода. Стафилококк способен поразить любой орган в организме человека, но наиболее часто он локализуется на кожных покровах и слизистой оболочке в горле и в носу.
Наиболее восприимчивы к стафилококковой инфекции дети младшего возраста, особенно после действия вредных факторов при беременности и во время родов (патология беременности, длительный безводный промежуток в родах), находящиеся на раннем искусственном вскармливании. Подвержены риску этой инфекции пожилые люди, особенно с сахарным диабетом, онкологическими и ревматическими заболеваниями, экземой.
Опасность этой бактерии кроется в том, что возбудитель стафилококка не восприимчив к антибиотикам, а именно к цефалоспоринам и пенициллинам. Именно поэтому лечение золотистого стафилококка оказывается намного дольше и сложнее, нежели устранение обычных бактерий. Если запустить процесс лечения, то это может привести к летальному исходу.
Заражение может произойти:
- воздушно-капельным путем;
- при несоблюдении личной гигиены;
- внутриутробно от матери к ребенку.
Если у человека имеется стафилококк, то это может привести к хроническим заболеваниям и гнойным инфекциям. Стафилококк имеет возможность мигрировать по организму, и вряд ли он задержится в горле, поэтому возможно поражение и других органов.
Частыми осложнениями золотистого стафилококка могут стать: менингит, пневмония, остеомиелит, эндокардит и даже сепсис.
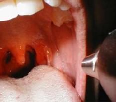
Симптомы стафилококка в горле
У взрослых при попадании золотистого стафилококка на слизистую поверхность горла и его прогрессировании наблюдается такие симптомы:
- слабость;
- сонливость;
- отсутствие аппетита;
- резкая головная боль.
- воспаление миндалин;
- повышение температурного порога до 39-40°;
- нехарактерное увеличение припухлость лимфатических узлов;
- болевой синдром при глотании слюны, жидкости и пищи;
- отечность слизистой горла, появление белесого налета или гнойничковых новообразований;
Одним словом, все симптомы характерны для гнойной ангины. С той лишь разницей, что стафилококковая инфекция плохо поддается лечению антибиотиками и может мигрировать в другие органы, в том числе и суставы.

Диагностика
Диагностика включает в себя проведение посева на бактерии, а также, забор анализа крови, с помощью которых медики выявляют бактерию стафилококка. Чтобы определить чувствительность стафилококка к антибактериальным препаратам доктор проводит дополнительный тест.
Перед тем, как лечить стафилококк в горле, необходимо, чтобы учитывалось наличие индивидуальной непереносимости компонентов лекарства, поэтому для каждого пациента должен подбираться особый комплекс лечения. Дозировка также устанавливается лечащим врач в зависимости и она зависит от возрастной и весовой категории.
Меры профилактики
Предотвратить инфицирование золотистым стафилококком поможет соблюдение обычных правил гигиены, отсутствие сильных стрессов, нормальный режим питания, сна и отдыха, а также регулярная санация всех хронических очагов в ротовой полости и носовых путях.
Как лечить стафилококк в горле
Золотистый стафилококк очень к высоким и низким температурам, а также к резким перепадам температурного режима, также она постоянно мутирует и вырабатывает устойчивость к антибиотикам. Поэтому при лечении стафилококка в горле нужно незамедлительно обратиться к специалисту, чтобы избежать осложнений.
Как упоминалось выше, при подборе препаратов нужно учитывать, что золотистый стафилококк чрезвычайно устойчив к применению антибиотиков — микроорганизм вырабатывает ферменты, разрушающие их. Поэтому чтобы вылечить данную инфекцию применяются антибактериальные препараты нового поколения, среди которых:
- Полусинтетические и защищённые пенициллины («Амоксиклав», «Нафициллин»);
- Аминогликозиды («Неомицин», «Канамицин»);
- Другие («Ванкомицин», «Тетрациклин», «Клиндамицин», «Рифаксимин», «Офлокацин»).
Из-за того, что прием антибиотиков может вызвать дисбактериоз, некоторые врачи могут назначить дополнительный прием препаратов, которые будут способствовать нормализации микрофлоры кишечника.
При неэффективности или невозможности проведения антибактериальной терапии пациентам назначается стафилококковый бактериофаг, который, по сути, является вирусом бактерий. Его преимущества заключаются в том, что воздействует он только на определенные патогенные микроорганизмы, не повреждая при этом нормальную микрофлору, не имеет противопоказаний и побочных эффектов.
Симптоматическое лечение у взрослых при развитии гнойного процесса в ротоглотке в результате воздействия золотистого стафилококка такое же, как при ангине. Народными средствами не стоит увлекаться, они должны дополнять основное лечение.

Лечение стафилококкового носительства
Чем лечить? Для устранения носительства золотистого стафилококка можно использовать следующую схему:
- Стафилококковый бактериофаг по 3 — 5 мл в каждую ноздрю два раза в день в течение 7 дней.
- ИРС-19 по одной дозе в каждую ноздрю 2 раза в день в течение месяца.
- Бронхомунал по 7 мг утром в течение 10 дней, всего 3 курса с интервалом 20 дней.
Через месяц после окончания такого лечения нужно сдать контрольный посев на микрофлору.
Для того, чтобы облегчить симптоматику, можно принимать эваларовский витамин С в шипучих таблетках 2000 мг….а все остальные препараты должны строго назначаться врачом и никак иначе…в частности особенно антибиотики. Что касается витамина C, дозировки там разные, супер удобно. Купить легко в интернет-магазине фитомаркет.