Кандидозный стоматит или молочница — распространенное явление. Его название происходит от места локализации (ротовая полость) и возбудителя (дрожжевые грибы рода кандида).
Если взглянуть на фото заболевания, вы увидите обыкновенную молочницу: белесый налет на внутренних стенках щек, на языке, иногда на миндалинах, небной части или в глотке человека.
В норме Candida входит в здоровую микрофлору слизистых оболочек рта, влагалища, кишечника, но их чрезмерное размножение нарушает внутреннюю экосистему организма и доставляет немалый дискомфорт. Рассмотрим, в чем выражаются симптомы кандидозного стоматита, и как лечить эту проблему в домашних условиях.
Причины возникновения
В ротовой полости «живет» достаточно много бактерий, контролирующих «поведение» грибка. Но иногда баланс сил нарушается, что и приводит к развитию стоматита. К основным факторам, провоцирующим заболевание, относят:
- Ослабление иммунной системы. Крепкий иммунитет препятствует активному размножению грибка, но, как только он дает сбой, вероятность появления стоматита этого вида резко возрастает;
- Прием некоторых медикаментов. Антибиотики могут вызывать дисбактериоз. В то время как резидентная микрофлора угнетается, патогенные микроорганизмы получают «свободу действий».
- Изменение гормонального фона. В основном с этим сталкиваются беременные и женщины, принимающие комбинированные оральные контрацептивы. Иногда кандидозный стоматит возникает в период менструации.
- Неправильный уход за ротовой полостью. Небрежное отношение к гигиене и нерегулярная чистка зубов позволяют грибку активно размножаться.
- Ксеростомия или сухость во рту. Как правило, такая проблема возникает из-за злоупотребления зубными эликсирами или частого использования зубной пасты с лаурил сульфат натрием в течение дня.
- Период младенчества. В первые недели жизни микрофлора во рту малыша еще не сформирована, организм только начинает адаптироваться к новым условиям.
- Беременность. Этот период сопровождается резкими изменениями гормонального фона, что способствует активизации инфекций.
- Пожилой возраст. В пожилом возрасте иммунная система хуже реагирует на появление реагентов, вызывающих заболевание.
- Иммунодефицит. Носители ВИЧ-инфекции подвержены тяжелым формам кандидозного стоматита, так как вирус разрушает клетки иммунной системы. В этом случае молочница может распространяться на пищевод и кишечник. Часто рецидивирующий кандидозный стоматит является первым признаком ВИЧ-инфецирования.
Молочница ротовой полости может возникнуть у каждого человека, но более вероятно, произойдет у младенцев, пожилых людей и у людей с подавленной иммунной системой или определенными условиями здоровья, или тех, кто принимает определенные лекарства.

Симптомы кандидозного стоматита
В случае кандидозного стоматита симптомы у детей и взрослых могут протекать в легкой, средней и тяжелой форме. Определить заболевание на начальных стадиях его развития несложно, поскольку оно проявляется отчетливо на языке, внутренней поверхности щек, деснах и небе.
Как правило, изначально можно заметить небольшую белую бляшку на какой-либо части ротовой полости, затем постепенно начинают появляться иные бляшки, при этом может образовываться белый налет. Далее молочница приобретает иные формы, налет становиться больше и толще.
Итак, общие симптомы кандидозного стоматита могут включать:
- Творожистые белые поражения на вашем языке, внутренних сторонах щек, а иногда на небе вашего рта, деснах и миндалинах.
- Покраснение или болезненность, которые могут быть достаточно серьезными, чтобы вызвать трудности в приеме пищи.
- Небольшое кровотечение, если поражения протирают или соскабливают.
- Трещины и покраснение в уголках рта (особенно у тех, кто носит зубные протезы).
- Потерю вкуса.
Если первичные симптомы кандидозного стоматита не лечить, инфекция может поразить другие внутренние органы: у маленьких детей могут возникать опрелости, так как грибок у малышей может поражать пищевод и кишечник. У взрослых грибковая инфекция может поразить гортань, кожу, половые органы.
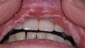
Кандидозный стоматит: фото
Как выглядит данный недуг, предлагаем к просмотру подробные фото.

Лечение кандидозного стоматита
Так как причиной возникновения кандидозного стоматита считается грибок, то в лечении используются препараты против грибковой инфекции. Варианты лекарств зависят от типа заболевания. Назначают и местное лечение, которое содержит анестезию, обеззараживание, снятие воспаления, заживление.
Также необходимо включать в лечение кандидозного стоматита у взрослых особую диету, которая укрепляет иммунную систему.
- При легком течении используются препараты в виде мази, растворов или спрея. Можно применять мазь Клотримазол, Нистатин, которая наносится на слизистую оболочку в местах воспаления не реже 2-х раз в день.
- При тяжелом течении применяются противогрибковые препараты системного действия в виде таблеток — Флуконазол, Нистатин, Полиженакс, Пимафуцин, Клотримазол и др.
- Терапия обязательно должна сопровождаться сбалансированной питательной диетой, направленной на укрепление иммунитета.
- Рекомендуется профилактические полоскания слабым раствором фурацилина, Орасептом и другими растворами. Возможно применение фитоотваров — из коры дуба, отвар ромашки, календулы, шалфея.
Длительность лечения у детей и взрослых разная. Детям терапию нужно продолжать еще на протяжении двух суток после того, как симптомы кандидозого стоматита исчезнут. А вот взрослым прием процедур и медикаментов рекомендован на 14 дней. Если случай тяжелый, врач может продлить лечение молочницы во рту.
Диета
Правильное питание во время кандидоза ротовой полости нужна для облегчения болевого синдрома, борьбы с самим грибком, а так же с целью повышения защитных сил организма.
Основные принципы диеты:
- Основа рациона — отварное мясо, овощи, бобовые, крупы, несвежий хлеб.
- Исключить продукты, содержащие дрожжи (хлеб, хлебобулочные изделия, пиво).
- Наполнить рацион кисломолочными продуктами и продуктами, содержащими клетчатку.
- Исключить или снизить до минимума потребление простых углеводов;
- Исключить употребление консерв, полуфабрикатов, фастфуда, алкоголя.

Кандидозный стоматит у детей: симптомы и лечение
Симптомы кандидозного стоматита у маленьких детей включают:
- Белые бляшки в ротовой полости и на языке, которые похожи на творог или свернувшееся молоко, поэтому их часто принимают за остатки молока или молочной смеси; удалять такой налет достаточно тяжело, тем более что после его ликвидации на пораженном участке появляется эрозия;
- Болезненность ротовой полости и языка, а также трудности глотания;
- Плохой аппетит: маленькие дети могут отказываться от еды, что часто ошибочно принимают за отсутствие голода или плохое качество молочной смеси; если ребенок не может кушать из-за боли в ротовой полости, он становится капризным;
- Опрелость: наличие кандидозного стоматита в ротовой полости способствует попаданию дрожжепобного грибка в кишечник.
Для того чтобы начать лечение кандидозного стоматита в полости рта, нужно обязательно найти источник заболевания. Это может быть урогенитальный кандидоз или молочница сосков у матери ребенка. Другой причиной болезни могут быть некоторые лекарственные препараты, о чем всегда нужно предупреждать доктора. Он, в свою очередь, будет советовать сменить лекарство. Если же нет такой возможности, то будет необходимо проходить курс антибиотиков вместе с противогрибковыми препаратами.
Для родителей очень важно помнить, что каждое лекарство должен назначать специалист, так как организм ребенка очень чувствителен.
А как можно избавится от стоматита? Сейчас на диете сужу, о ней в статье написано.
Я тоже думала, что обойдусь одной диетой с полосканием отварами трав. В итоге запустила только.. пришлось к стоматологу обратится. Назначили стоматологический гель холисал с дополнением в виде тех же полосканий. Гель оказался очень хорошим, с ним все быстрее стало проходить. Сейчас, тьфу-тьфу, прошло уже, и надеюсь больше не появится.
Мне висцид от этой заразы помогает хорошо. Он на травах сделан, то есть ничего вредно и это большой плюс, к тому же не только ускоряет заживление, но и боль снимает. Рекомендую.
Мне врач тоже полоскания прописал, а еще Холисал гель, он мне так хорошо боль снимал, а то болячка совсем невыносимая была. Курс лечения прошла и все в норму вернулось, я рада.
ага, хорошая статья, Кристина, спасибо за совет!
Да, согласна. Я тоже холисал использовала для лечения стоматита. Прикольный гель, оказывает противовоспалительное и обезболивающее действия, а также на вирусы действует. С помощью геля удалось вылечить стоматит без проблем, мне понравился.
Висцидом я дочку лечила от стоматита — язвочек во рту. Ополаскиватель очень хороший — на травах, Он отлично снимает воспаленность и боль, плюс на микробы и бактерии действует. А неделю назад у меня у самой появились эти противные язвочки, тоже Висцидом полоскала.
Я обязательно диету соблюдаю при стоматите, и холисал покупаю. Этот гель облегчает боль, способствует снижению воспаленности, а также действует на вирусы с бактериями! Кстати, в составе отсутствует вредный лидокаин, поэтому гель и для детей подходит.
Да, спасибо, полезная информация. За рацион питания в этот период отдельное спасибо)))
Стоматит неприятная болячка, которая во рту появляется. Замечаю, что у меня на фоне ослабленного иммунитета выскакивает. В таких случаях висцидом начинаю рот полоскать, он ускоряет процесс заживления ранок, значительно облегчает болезненные ощущения. За короткий срок ранки исчезают, и перестают беспокоить. Висцид еще выпускается в виде спрея, подойдет для маленьких детей, к примеру.
Я по рекомендации стоматолога висцид брала, лекарство, в составе которого одни травы. Он хорошо облегчает боль и воспаление, а еще повышает местный иммунитет. Таким образом от язвочек во рту — стоматита, вскоре и вовсе ничего не остается. Кстати, если с деснами есть проблемы, то можно зубную пасту висцид взять, она хорошо облегчает состояние десен!