В зависимости от локализации, индивидуальных особенностей организма и формы туберкулеза, симптомы могут быть самыми разнообразными. Если симптомы туберкулеза у взрослых выявлены рано, то болезнь хорошо поддается лечению. Поздно выявленный, запущенный туберкулез легких — часто бывает неизлечим.
Туберкулез — что это такое? Инфекционное (способное передаваться от больного человека к здоровому) заболевание, вызываемое определённым возбудителем — бактериями рода Mycobacterium. В XVII — XVIII веках, в период урбанизации и резкого развития промышленности, заболеваемость туберкулезом приобрела в Европе характер эпидемии. В 1650 году 20% смертей среди жителей Англии и Уэльса было обусловлено туберкулезом.
В соответствии с информацией ВОЗ, около 2 миллиардов людей, треть общего населения Земли, инфицировано туберкулезом. В настоящее время этим недугом ежегодно заболевает 9 миллионов человек во всём мире, из них 3 миллиона умирают от его осложнений.
Возбудитель
Наиболее часто встречающийся возбудитель — палочка Коха — бактерия, открытая в 1882 году немецким микробиологом, Нобелевским лауреатом Робертом Кохом. Они очень живучи, отлично сопротивляются воздействию агрессивных факторов и не распадаются даже при использовании современных дезинфицирующих средств.
Типичное место поражения инфекцией — легкие, но различают также туберкулез кожи, костей, глаз, лимфатической, мочеполовой, пищеварительной, нервной систем.
Как передается туберкулез
Важно помнить о том, что основными источниками туберкулезной инфекции являются зараженные люди. Передача инфекции происходит при вдыхании воздуха с рассеянными в нем возбудителями. Основные пути, как передается заболевание:
- Воздушно-капельным — основной путь передачи инфекции. Микобактерии выделяются в воздух с частицами мокроты, слюны при разговоре, кашле или чихании больного открытой формой (форма, при которой происходит выделение возбудителей в окружающую среду) туберкулеза;
- Контактно-бытовым — при использовании посуды, предметов личной гигиены, белья больного человека;
- Алиментарным (пищевой) — при употреблении продуктов, полученных от зараженных животных;
- Внутриутробным — от больной матери к плоду в период беременности или во время родов.
Носительство туберкулеза не заразно, наличие у человека туберкулезной инфекции при отсутствии признаков самого заболевания не есть туберкулез. Когда у человека развивается активный туберкулез, симптомы (кашель, повышенная температура, ночные поты, потеря веса и др.) могут проявляться в легкой форме на протяжении многих месяцев.

Туберкулез легких: первые признаки
Можно выделить определенные первые признаки, по которым можно заподозрить развитие туберкулез легких у взрослых:
- слабость;
- вялость;
- головокружение;
- плохой аппетит или его отсутствие;
- апатия;
- плохой сон;
- ночная потливость;
- бледность;
- потеря веса;
- субфебрильная температура тела.
Наличие этих симптомов — существенный повод для посещения врача и дополнительного обследования на туберкулез легких. Если человек упустил этот момент, то к данной симптоматике присоединяются симптомы со стороны органов дыхания:
- кашель — чаще всего с выделением мокроты;
- одышка;
- кровохарканье — от прожилок крови в мокроте до значительного легочного кровотечения;
- боль в грудной клетке, усиливающаяся при кашле.
Последние 2 симптома являются признаками осложненных форм заболевания и требуют немедленного начала лечения туберкулеза легких.
Туберкулез: симптомы
При туберкулезе важно не пропустить первые симптомы, когда шанс вылечить заболевание остается высоким.
Однако, тут есть свои нюансы, ведь зачастую туберкулез легких долгое время протекает без заметной симптоматики, и обнаруживается совершенно случайно, например, при проведении флюорографии.
Для большинства форм туберкулёза лёгких характерны следующие признаки:
- Общее состояние человека — взрослые с ограниченными формами туберкулеза жалуются на повышенную утомляемость, слабость, особенно выраженную в утренние время, также характерно понижение работоспособности.
- Кашель. От сухого до влажного, с заметными отделением мокроты. Она может быть творожистого, гнойного вида. При присоединении крови — принимает вид от «ржавой» до примеси жидкой, не изменённой (кровохаркание).
- Общий вид: больные теряют в весе до 15 и более килограмм, поэтому выглядят худыми, лицо бледное, черты лица заостряются и потому оно кажется более красивым, на фоне бледной кожи заметен румянец на щеках.
- Одышка. Обусловлено сокращением дыхательной поверхности лёгких при воспалении и склерозировании (рубцевании).
- Увеличение температуры тела: при ограниченных формах повышение температуры незначительное (37,5-38 С), но продолжительное.
- Температура повышается вечером или в ночное время, ночью наблюдается обильное потоотделение, озноб.
- Боль в грудной клетке. Присоединяются в развёрнутых стадиях заболевания и при переходе туберкулёзного процесса на плевру.
Поражения других органов сопровождаются признаками, которые на первый взгляд неотличимы от симптомов других распространенных недугов, поэтому в рамках данного материала рассматривать их не имеет смысла.

Симптомы у детей
В детском возрасте туберкулез развивается несколько иначе, нежели у взрослых людей. Связано это с недостаточно развитой иммунной системой ребенка. Заболевание прогрессирует намного быстрее и приводит к самым печальным последствиям.
Эти признаки должны насторожить родителей:
- кашель, продолжающийся более 20 суток;
- продолжительное повышение температуры;
- потеря аппетита;
- быстрая утомляемость;
- заметная потеря веса;
- понижение внимания, влекущее за собой отставание в учебе;
- признаки интоксикации.
В общем, симптомы туберкулеза у детей , как и у взрослого человека зависят от формы болезни и от локализации инфекционного процесса.
Осложнения
Выделяют такие последствия туберкулеза легких:
- Пневмоторакс — накопление воздуха в плевральной полости — пространстве, окружающем легкое.
- Дыхательная недостаточность. При массивном туберкулезном поражении легких объем эффективно работающих легких снижается, что приводит к уменьшению насыщения крови кислородом.
- Сердечная недостаточность. Обычно сопровождает дыхательную недостаточность.
- Амилоидоз внутренних органов.
- Легочное кровотечение. Может развиться при разрушении сосуда в легких в результате туберкулезного воспаления.
Профилактика
Профилактика развития туберкулеза заключается в своевременном прохождении профилактических исследований, прежде всего, флюорографии, а также выявление лиц с открытой формой болезни и их изолирование.
Вакцинация (вакцина БЦЖ) — выполняется на 5-7-й день жизни, ревакцинацию проводят детям в возрасте 7, 12 и 17 лет, а также взрослым до 30 лет, у которых проба Манту дала отрицательный или сомнительный результат.
Диагностика
К числу эффективных диагностических методов, ориентированных на выявление туберкулезной инфекции, относятся:
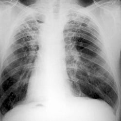
- Флюорография грудной клетки;
- Проба Манту;
- Анализ крови на туберкулез;
- Рентгенография легких;
- Посев промывных вод желудка и бронхов, мокроты и отделяемого новообразований на коже.
Самый современный метод — ПЦР. Это ДНК-диагностика, когда на анализ берется мокрота больного. Результат можно узнать через 3 дня, достоверность — 95-100%.

Лечение туберкулеза
Лечение этого заболевания должно быть начато сразу же после его обнаружения и проводиться непрерывно и длительно.
Основа лечения туберкулеза — применение противотуберкулезных препаратов (химиотерапия). Выделяют основные и резервные противотуберкулезные препараты. Основные — изониазид, этамбутол, рифампицин, пиразинамид, стрептомицин. Резервные — канамицин, протионамид, амикацин, этионамид, циклосерин, ПАСК, капреомицин и другие.
Помимо химиотерапии, в программу лечения туберкулеза легких входят:
- соблюдение высококалорийной диеты;
- коррекция анемии, гиповитаминоза, лейкопении;
- применение глюкокортикоидов по показаниям;
- санаторно-курортный отдых;
- оперативное лечение (удаление пораженного внутреннего органа или его доли, дренирование каверны и др.).
Лечение чувствительного к лекарствам туберкулеза занимает не менее 6 месяцев, а иногда затягивается до 2 лет. Оценка эффективности лечения проводится ежемесячно по результатам обнаружения возбудителя в мокроте больного. Для угнетения инфекции терапия должна проводиться систематично, без пауз, тогда туберкулез не сможет прогрессировать.
Химию принимать следует обязательно, совместно с народными рецептами, они проверены веками и так просто от них отмахиваться не стоит, к хирургу можно идти, можно нет но ни один врач не даст гарантию, что туберкулез не разовьется у вас снова уже на другом легком, для тех больных у кого выявлена устойчивость к лекарственным препаратам, можно попробовать принимать деготь с молоком (деготь принимается по каплям), но и таблетками пренебрегать не следует (так как нет таких палочек которые были бы устойчивы ко всем химиопрепаратам), для поддержания функций печени и желудка можно принимать фракцию АСД -2.
с 2017 года пропивал ,все вышеуказанные таблетки,реакции 0…),считаю что АСД-2! однозначно эфективно!!!