Цервицит — воспалительный процесс во влагалищном сегменте шейки матки. Цервицит, симптомы течения которого характеризуются гнойными или слизистыми выделениями, болью внизу живота (тянущей или тупой), болезненностью полового акта и мочеиспускания.
Затяжной хронический цервицит приводит к развитию эрозии, утолщению шейки матки, распространению инфекции на верхние отделы полового аппарата.
По своей структуре шейка матки служит барьером, которая препятствует проникновению инфекции в матку. При определенных факторах происходит нарушение её защитной функции, что приводит к попаданию в эту область инородной микрофлоры, способствуя, тем самым, развитию воспаления — цервицита шейки матки.
Чаще всего заболевание возникает у женщин в возрасте от 18 до 45 лет, живущих активной половой жизнью. При этом многие инфицированные женщины не проходят курс необходимого лечения, поскольку симптомы цервицита могут быть скрытыми.
Причины
Почему возникает цервицит, и что это такое? Для того чтобы у женщины развился этот недуг, необходимо внедрение в половые органы различной болезнетворной микрофлоры: кишечной палочки, стрептококков, стафилококков, микоплазм и других микроорганизмов. Они способна попадать в шейку матки через контактные пути, через кровь и лимфу или из прямой кишки, специфическая микрофлора передается половым путем.
В большинстве случаев цервицит шейки матки возникает по причине наличия вагинальных инфекций, передающихся половым путем: хламидиоза, гонореи, трихомониаза. Провоцировать воспаление шейки матки могут также герпетические генитальные инфекции, молочница или вирус папилломы. Кроме этого, сопутствовать возникновению болезни могут и механические раздражители, это травмы шейки матки после абортов, родов или из-за других повреждений.
Цервицит редко возникает изолированно, обычно его развитию сопутствуют другие патологии половой системы: вагинит, вульвит, бартолинит, эктропион, псевдоэрозии шейки матки. Чтобы не было осложнений, нужно вовремя подумать о том, как лечить цервицит, и какие препараты для этого потребуются.
Цервицит симптомы
Заболевание может протекать в двух вариантах. Первый — без симптомов, второй — с проявлением определенных признаков. В большинстве случаев, выраженность клиники зависит от возбудителя инфекционного процесса.
При легкой форме цервицита женщина может не заметить вообще никаких симптомов. Возможно периодическое появление небольших выделений из влагалища, которые преимущественно имеют слизистый характер.
Основные признаки цервицита шейки матки:
- слабая ноющая боль внизу живота;
- болевые ощущения или дискомфорт во время полового акта;
- редкие кровянистые выделения из влагалища, иногда — с примесью гноя;
- мутные слизистые выделения из влагалища независимо от менструального цикла;
- болезненные менструации.
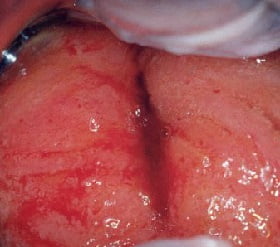
При цервиците шейки матки есть и более выраженные симптомы — кровотечение, зуд в зоне половых органов, болевые ощущения или выделения с кровяными вкраплениями во время полового акта, жжение при мочеиспускании. Кроме этого, у больной цервицитом женщины отмечается присутствие периодических и дискомфортных ощущений внизу живота. Если же острый цервицит имеет тяжелое протекание, то возможно наблюдение повышения температуры тела, появление головокружения, тошноты или рвоты.
Если у женщины развился гонорейный цервицит, то выделения становятся с желтым оттенком, при трихомониазе они становятся пенистыми. Вирус папилломы человека может вызывать образование кондилом и изъязвления шейки матки различных размеров.
Лечение острого цервицита проводят с использованием антибиотиков. А если причиной заболевания стали гонококки, то потребуется лечение обоих партнеров. Невылеченный в этой стадии цервицит переходит в затяжной хронический процесс. Выделения становятся мутно-слизистыми. В хронической стадии признаки воспаления (отек, гиперемия) выражены слабее.
Во время беременности
Цервицит во время беременности может обернуться довольно серьезной проблемой и для женщины и для ее ребенка. При инфекционном течении заболевания высока вероятность заражения плода в процессе родов.
Лечить цервицит во время беременности крайне сложно вследствие того, что многие антибактериальные средства негативно влияют на плод. Поэтому вылечить цервицит нужно до начала беременности, чтобы не было различных патологических изменений плода.
Хронический цервицит
Если острый цервицит не лечится должным образом или не лечится вовсе, через одну-две недели острые явления стихают, а воспаление приобретает черты хронического процесса.
Симптомами хронического цервицита могут быть изредка возникающие ноющие боли внизу живота, слизистые выделения из влагалища. Хроническая инфекция представляет большую опасность для здоровья женщины, поскольку из-за несвоевременного лечения стенки шейки матки уплотняются, что может стать причиной онкозаболеваний, бесплодия и дисплазии в рассматриваемой области половых органов.

Гнойный цервицит
Это воспалительный процесс в цилиндрическом эпителии, а также субэпителиальные повреждения слизистой оболочки шейки матки и любого участка, который прилегает к цилиндрическому эпителию.
Основные его проявления:
- обильные (с примесью гноя), неприятно пахнущие выделения из влагалища;
- маточные кровотечения, не связанные с месячными;
- боль внизу живота;
- субфебрильная температура тела, недомогание (в редких случаях).
При наличии у женщины гнойного цервицита практически наверняка можно утверждать про наличие уретрита у ее партнера, вызываемого аналогичного типа возбудителями.
Цервицит — лечение
Для начала следует выявить причину заболевания, а затем уже назначать комплексное лечение цервицита. Для этого женщине необходимо пройти обследование у гинеколога, сдать анализ на половые инфекции, бактериальную флору влагалища, а также стандартные анализы крови и мочи. Стоит отметить, что в случае выявления ИППП половой партнер также должен пройти обследование.
Схема лечения выглядит следующим образом:
- назначение антибиотиков после выявления возбудителя.
- местная противовоспалительная, обезболивающая терапия.
- восстановление микрофлоры влагалища.
- физиотерапия.
При хламидийном цервиците показаны антибиотики тетрациклинового ряда (доксициклин), хинолоны, макролиды (эритромицин). При кандидозном цервиците применяют противогрибковые средства (итраконазол, флуконазол). В лечении цервицитов широко применяют комбинированные местные препараты.
После затихания острой стадии заболевания возможно применение местных методов лечения цервицита. Свечи (тержинан) и крема хорошо подойдут для этого. Таким образом, цервицит шейки матки лечение требует длительное и основательное, чтобы он не хронизировался и излечился полностью.
В редких случаях, если цервицит у женщины не проходит после курса антибиотиков, выполняется прижигание воспаленных участков.
Профилактические меры
Профилактика цервицита — это в первую очередь своевременное лечение эндокринных нарушений, предупреждение абортов, соблюдение личной гигиены и исключение половых инфекций.
Даже не знала что у меня эта беда, а проходила тут гистероскопию, сказали, чо воспаление в канале, при том, что я не так давно лечилась метрогилом плюс — видимо, в шейку лекарства плохо попадают. С одной стороны хорошо, что нашли, а с другой — дай Бог теперь вылечиться.
Свечи плохо от этой проблемы помогают, лучше гели вроде метрогила плюс, они ждкие и в канал хорошо проникают.
Для чего при церввиците назначают экофемин в свечах?
По сути, экофемин действует также, как антисептики, только при этом он еще восстанавливает влагалищную микрофлору. Получается и лечение цервицита, и профилактики рецидивов.
Мне кажется, при цервиците Бетадин эффективнее. Традиционное проверенное средство на основе антисептика. Много лет в гинекологии используется.