Гипертрофический гингивит — хронический воспалительный процесс ткани десны, который протекает без нарушений зубодесневого прикрепления и сопровождается увеличением объема ткани десны (пролиферацией). Для гипертрофического гингивита характерно разрастание десневых сосочков и самих десен, которые прикрывают коронки зубов.
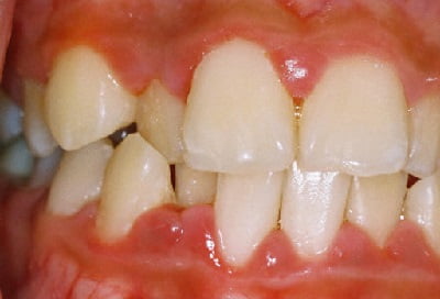
Пациенты, страдающие этой формой гингивита, жалуются на сильные болевые ощущения, постоянную кровоточивость десен и значительное увеличение объема десны, которая может частично закрывать коронки зубов снаружи (не со стороны языка).
При этом десна больного остается достаточно твердой и под ней, на зубах, образуется зубной камень, который создает благоприятные условия для размножения микроорганизмов. При гипертрофическом гингивите зубы могут незначительно сдвигаться.
Причины
Почему развивается гипертрофический гингивит, и что это такое? Причины, вызывающие данную форму гингивита следующие:
- Эндокринные нарушения (гормональные сдвиги). Выделяют самостоятельную форму гингивита у юношей — “юношеский” гингивит и гипертрофический гингивит у беременных.
- Нарушения развития зубо-челюстной системы: патология прикуса (особенно глубокое резцовое перекрытие), скученность зубов во фронтальном участке нижней челюсти или тесное расположение зубов, аномалии положения зубов в дуге и др.
- Гипертрофический гингивит очаговый развивается под действием механической травмы (острый край разрушенного зуба, нависающие края пломбы, кламмер протеза и др.).
В зависимости от клинической картины выделяют две формы гипертрофического поражения десневой ткани: фиброзную и гранулирующую. Каждая из форм заболевания характеризуется своими симптомами.
Классификация
Рассматривают две формы этой патологии:
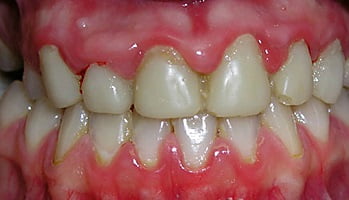
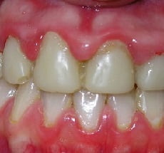
- Фиброзная форма гипертрофического гингивита характеризуется ростом десневых сосочков, имеющих бледно-розовый оттенок. Они имеют плотную структуру и при этом кровоточивость . Как правило, пациенты жалуются лишь на неэстетичность.
- Гипертрофический гингивит при отечной форме проявляется отеком десневых сосочков, набуханием и синюшностью. Поверхность десен рыхлая, при прикосновении остаются вмятины, а при зондировании возможна кровоточивость. Пациентов беспокоит боль при жевании и чистке зубов.
Выбор метода лечения гипертрофического гингивита зависит от формы течения болезни, доминирующих симптомов, общего состояния здоровья пациента.

Симптомы гипертрофического гингивита
Помимо визуального увеличения объема десны у гипертрофического гингивита, особенно у его отечной формы, есть еще ряд симптомов:
- Кровоточивость и болезненность десен даже при легких прикосновениях, особенно во время чистки зубов;
- Болезненность десен во время приема пищи, острая боль при поедании холодной, горячей или кислой пищи;
- Трудности с пережевыванием еды из-за разросшейся десны.
В зависимости от степени раздражения десны выделяют три степени развития гипертрофического гингивита:
- 1 степень — легкая, десневые сосочки покрывают 1/3 зуба;
- 2 степень — средняя, десневые сосочки покрывают до 1/2 высоты зуба;
- 3 степень — тяжелая, десневые сосочки покрывают более 1/2 высоты зуба.
При отёчной форме разрастание десны в ряде случаев либо частично, либо полностью исчезает после устранения этиологических факторов (по завершении ортодонтического лечения, после замены некачественных пломб, при нормализации гормонального фона, после отмены или замены лекарственных препаратов, после родов).
При обеих формах особенно важны регулярные курсы профессиональной гигиенической обработки и противовоспалительной терапии в сочетании с качественной индивидуальной гигиеной полости рта.
Гипертрофический гингивит: фото
Как выглядит данный недуг, предлагаем к просмотру подробные фото.


Диагностика
Инструментальное обследование выявляет кровоточивость десен, мягкий налет и наличие наддесневого зубного камня. При помощи пародонтологического зонда исследуют зубодесневую борозду: как правило, целостность зубодесневого соединения не нарушена, зубодесневой карман отсутствует; симптом кровоточивости положительный.
Для качественной диагностики используют индексы:
- гигиены;
- пародонтальный;
- PMA;
- А также:
- пробу Шиллера-Писарева;
- биопсию тканей десны;
- комплексное обследование тканей десны.
Также важны клинические тесты, позволяющие выявить признаки гингивита до предъявления пациентом жалоб, чтобы осуществлять профилактику клинического проявления гингивита. К таким тестам относится прежде всего кровоточивость при зондировании зубодесневой борозды. Следует учесть, что морфологические признаки воспаления определяются еще в клинически интактной десне.
Лечение гипертрофического гингивита
Для назначения подходящего варианта лечения, необходимо выяснить первопричину гипертрофического гингивита. После определения этиологического фактора, врач приступает к следующему этапу терапии: проводит профессиональную гигиену ротовой полости и зубов.
Для лечения гипертрофического гингивита проводят антибактериальную, противовоспалительную и иммуностимулирующую терапию. Сныть кровоточивость десен помогает прием витаминных комплексов и аппликации с Викасолом. Применяют препараты, обладающие капилляроукрепляющими свойствами, а также лекарственные средства, ускоряющие регенерацию десневой ткани.
Гранулирующую форму заболевания лечат при помощи прижигающих средств — пиоцидотерапия и диатермокоагуляция. Использование Пиоцида эффективно для лечения гингивита первой и второй степени тяжести. Деструктивные методы терапии не применяют для лечения гингивита фиброзной формы. Наблюдения показывают, что заживление ран после поверхностной пиоцидотерапии продолжается 7-10 дней, после глубокой — 12-15 дней и заканчивается образованием едва заметных нежных рубцов.
К сожалению, гипертрофический гингивит не всегда поддается консервативным методам лечения. В большинстве случаев, третья стадия остается равнодушной к медикаментам, и специалисту не остается ничего другого, как удалить патологически увеличенные десневые сосочки хирургическим путем.
Оперативное вмешательство осуществляется под местным наркозом (при отсутствии показаний к общей анестезии) и носит название «гингивэктомия». Увеличенные десневые сосочки иссекаются, оставляя лишь ту их часть, которая должна быть у здорового человека.
Профилактика
При гипертрофическом гингивите профилактика сводится к исключению хронического механического травмирования десны, регулярному проведению профессиональной гигиены полости рта, правильному гигиеническому уходу за зубами и деснами, решению стоматологических проблем пациента. Крайне важным является терапия эндокринных заболеваний, рациональный подбор лекарственных препаратов.
Мне стоматолог советовал целый комплекс для облегчения симптомов гингивита. Брала висцид ополаскиватель, который обладает противовоспалительным и обезболивающим свойствами. И зубную пасту висцид. Плюс диета — без агрессивной пищи, слишком холодного и горячего, и тд. Десна постепенно в порядок приходят.
У меня на днях почему-то сильно десны опухли, как будто воспаление какие-то, и больновато было. Стоматолог сказал что это симптомы гингивита, посоветовал Пародонтоцид в виде геля купить, он лечебный и помогает при подобных воспалениях как раз. На фоне применения стало действительно лучше. Гель не смывается сразу с десен, освежает дыхание помимо лечебного действия.