Многие пациенты не обращают внимания на кровоточивость десен до тех пор, пока она не начнет вызывать боль и дискомфорт во рту. Кровоточивость десен — признак, сигнализирующий о наличии в организме различных заболеваний: полости рта, отдельного органа или всего организма. Самолечение и оттягивание визита к врачу могут привести к печальным последствиям.
Кровоточивость десен может носить хронический характер, возникать периодически либо регулярно, в зависимости от определенных причин (например, во время чистки зубов) либо при отсутствии таковых.
Однако, в любом случае нельзя оставлять эту проблему без внимания и, при первых проявлениях крови на околозубных участках следует записаться на осмотр к стоматологу. Проблему необходимо диагностировать и очень быстро вылечить, иначе могут появиться другие, более серьезные последствия. В одном случае — это может быть потеря зубов, а в другом — необходимость хирургического вмешательства.
В этой статье мы рассмотрим почему кровоточат десна, что делать в таком случае чтобы избежать осложнений, а также какие методы лечения зубов сегодня актуальны.
Причины кровоточивости десен
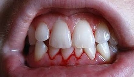
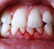
Кровоточивость десен в большинстве случаев обнаруживается при чистке зубов и указывает на повреждение слизистой оболочки десен или на наличие иных (иногда серьезных) болезней. Если кровотечение из десен продолжается несколько дней, то для выяснения его причины нужно обязательно обратиться к врачу. Оставлять без внимания данный симптом нельзя, дабы не развились серьезные осложнения.
Рассмотрим основные причины, почему кровоточит десна зуба:
- Кровоточивость десен при чистке зубов. Вероятно, гигиена ротовой полости осуществляется неправильно. Что это значит? При выборе средств личного ухода нужно внимательно отнестись к тому, насколько они подходят именно вам. Частой ошибкой является зубная щетка с сильной жесткостью, она повреждает десны. То же самое касается зубной нити, если производить очистку резко, есть вероятность разрезать мягкие ткани.
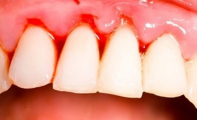
- Гингивит — воспаление, развивающееся в слизистой оболочке десен и проявляющееся ее покраснением или синюшностью, отеком и кровоточивостью. В запущенных случаях симптомы гингивита могут быть довольно интенсивными и мучить человека даже во сне. Это довольно распространенная патология, поражающая взрослых, подростков, детей и беременных женщин.
- Пародонтит. Обязательного врачебного вмешательства также пародонтит, поскольку самостоятельно избавиться от него практически невозможно. При наличии данного заболевания сильно кровоточат десна, наблюдается подвижность зубов, а также оголение их шеек, выделяется гной из пародонтальных каналов и отекают края десен.
- Зубной камень. Камень — это не что иное, как затвердевшие продукты жизнедеятельности бактерий и остатки пищи. Твердый налет, накапливающийся в области шейки зубов, постоянно травмирует десны, вызывая их кровоточивость. Зубной камень может располагаться глубоко под десной. В данном случае он внешне незаметен.
- Беременность. Нередко во время беременности женщины отмечают повышенную склонность десен к кровоточивости. Это состояние не является опасным и связано с особыми перестройками в организме беременной женщины.
- Нехватка витаминов. Кровоточивость десен у многих людей наблюдается в конце зимы, когда их организм испытывает все признаки авитаминоза.
- Изменение уровня гормонов в крови. Сбои в гормональном фоне могут быть вызваны беременностью, подростковым взрослением и другими факторами. Обычно десны перестают кровоточить, когда гормоны приходят в норму.
- Хронические заболевания организма, в том числе патологии эндокринной и кровеносной системы. Кровоточивость десен при отсутствии в них воспаления часто встречается при лейкозе, ВИЧ, сахарном диабете, нарушениях свертываемости крови.
- Прием определенных медикаментов. Есть немало лекарств, которые способствуют разжижению крови, побочным эффектом чего является кровоточивость десен. В большинстве случаев после прекращения принятия таких медикаментов прекращается и кровоточивость.
О заболеваниях пародонта можно говорить с полной уверенностью, если, помимо кровоточивости, присутствуют другие характерные признаки:
- болезненные ощущения при прикосновении;
- покраснение (или наоборот, синюшность) и припухший вид;
- наличие зубных отложений;
- неприятный запах изо рта;
- повышенное слюноотделение.
Если вы ощутили, что у вас кровоточат десны, что делать и почему это происходит, подскажет специалист. Важно вовремя выявить начало их болезни и срочно обратиться за консультацией к стоматологу. Он порекомендует, как эффективно лечить кровотечение медикаментозными препаратами и даст рекомендации насчет применения народных средств.
Что делать, если кровоточат десна?
Если у вас кровоточат десны и появился запах изо рта, первое, что нужно делать — ехать на прием к стоматологу. В случаях, когда серьезного лечения не требуется, специалист может порекомендовать сменить щетку и зубную пасту.
Чаще всего при кровоточивости десен рекомендуют такие зубные пасты:
- Parodontax F;
- Пародонтол Актив;
- Лесной бальзам;
- PresiDENT exclusive;
- Lacalut fitoformula;
- Lacalut aktiv;
- Асепта.
Также можно опробовать один из стоматологических гелей, улучшающих состояние десен:
- Холисал — 320 руб. за 10 г. Снимает воспаление, действует как анальгетик и уничтожает микробы.
- Асепта — 179 руб. за 10 г. Бальзам не только борется с кровоточивостью и воспалением десен, но и освежает дыхание.
- Камистад — 200 руб. за 10 г. Его основное действующее вещество — лидокаин. Гель снимает воспаление и помогает восстановить поврежденные ткани десен.
- Метрогил Дента — 200 руб. за 20 г. Индийский препарат, в состав которого входит антисептик и антибиотик.
Если кровоточивость десен перешла в воспаление, то стоматолог проведет комплексное обследование и лечение полости рта.

Лечение кровоточивости десен
Кровоточивость десен — лечение в первую очередь будет заключаться в удалении твердых зубных отложений и мягкого микробного зубного налета, а также проведении противовоспалительной терапии. Не менее важно также научить пациента правильной гигиене полости рта.
- Первым этапом проводится чистка зубов и удаление камней ультразвуком.
- Противовоспалительная терапия. Сразу же после удаления отложений, или еще в процессе (в случае, если потребуется несколько визитов к стоматологу) доктор назначит Вам курс противовоспалительной терапии. Такой курс длиться 10 дней.
- В дальнейшем подбирается зубная щетка с маркировкой Soft, имеющая мягкую щетину используются специализированные зубные пасты и зубные нити (флосс и суперфлосс) для гигиены полости рта.
- Дважды в год выполняются профилактические визиты к стоматологу.
Если у Вас гингивит, то всего вышеперечисленного вполне достаточно, чтобы вылечит это заболевание и забыть о кровоточивости десен. Однако, если у Вас развился Пародонтит, то все вышеперечисленные мероприятия — это только базовое лечение, направленное на снятие симптомов воспаления.
Народные средства
При кровоточивости десен использование различных трав позволяет снять болезненность и уменьшить кровоточивость в домашних условиях. Также народные средства способствуют уменьшению очага воспаления, помогают устранить жжение и зуд, очистить ротовую полость от бактериального налета.
- Эффективное средство для лечения десен — настой шалфея, обладающего антибактериальным действием. Чайная ложка шалфея заливается стаканом кипятка, настаивается в течение 30 минут, затем процеживается. Настой можно применять для полоскания полости рта и в виде компрессов на десна.
- Свежевыжатый сок из хрена — очень хорошее средство для укрепления десен. В стакане сухого красного вина разводится 2 ст. ложки сока. Можно применять для полоскания, а при употреблении внутрь не только укрепляются десна, но и повышается иммунитет.
- Прекрасным кровоостанавливающим средством является настой крапивы, полоскать ротовую полость которым нужно до наступления устойчивого терапевтического эффекта.
- Для массажа десен и очищения пространств между зубами от частиц пищи рекомендуется чаще есть свежие яблоки и морковь.
Не стоит забывать и о правильном питании. Необходим сбалансированный рацион, в который нужно включить продукты с высоким содержанием белка, витаминов и микроэлементов. Особенно важно при кровоточивости десен есть пищу, богатую кальцием и фосфором: рыбу, бобовые культуры, фрукты и овощи.
К сожалению, народные методы лечения кровоточивости десен все же не всегда бывают эффективными и носят временный эффект. Поэтому использовать советы народной медицины необходимо осторожно, а в случае если результат не был достигнут — обязательно обращаться к специалистам, к врачам-стоматологам.

Профилактика
Для профилактики кровоточивость десен необходимо запомнить несколько правил гигиены:
- После каждого приема пищи обязательно полоскать ротовую полость. Это можно делать с помощью обычной воды или же специальных средств. Полезно использовать для полоскания солевой раствор. Для его изготовления в стакане теплой кипяченой воды растворите одну столовую ложку морской соли. Избегайте средств для полоскания ротовой полости, в состав которых входит алкоголь, поскольку такие средства только поспособствуют кровоточивости.
- Дважды в день чистить зубы мягкой зубной щеткой. Зубная паста должна обязательно содержать кальций или фтор. Также нужно поочередно использовать пасты с разным составом полезных веществ.
- После приема пищи можно использовать зубную нить. Зубная нить поможет удалить остатки пищи, скопившиеся между зубами. Именно зубная нить наиболее эффективно удаляет остатки пищи из этой проблемной зоны.
- Необходимо удалять зубной камень один раз в год. Зубной камень стоматолог может удалить несколькими способами. Наиболее распространенными способами являются: удаление зубного камня при помощи ультразвука, и удаление зубного камня при помощи специального средства.
В целом осмотр полости рта раз в 6 месяцев, регулярная корректировка ортопедических конструкций (протезов, мостов и коронок) и лечение заболеваний полости рта на ранних стадиях способствуют предотвращению кровоточивости десен.
Спасибо, как раз заметила с утра при чистке зубов кровь… Перепугалась страшно. Наверное, к стоматологу запишусь от греха подальше.
Правильно в статье написано, что нехватка кальция может сказываться так… Когда в беременность начались проблемы с деснами, да такие, что жевать было больно, гели несколько снимали болевые ощущения, но воспаление не уходило, потом в добавок к свои витаминам начала пить кальций хелат эвалар, ситуация постепенно улучшалась и в итоге состояние десен пришло в норму.
Пыталась как-то корой дуба полоскать рот, но постоянно забывала это делать. Так что ничего не скажу об эффективности этого метода. Потом как-то Холисал в аптеке купила, так теперь только им и пользуюсь. Чуть десна воспалятся, сразу начинаю гель этот применять, не дожидаюсь кровоточивости. И все ок.
Никогда с гингивит, и тем более с пародонтитом не сталкивалась. И это хорошо.
Вам повезло)) а вот у меня периодически десна опухает, а ведь это первые признака пародонтита (так мне стоматолог сказал). Сейчас использую гель холисал и ополаскиватели. Стараюсь соблюдать все методы профилактики. все это помогает мне.
А мне нравится пародонтоцид он натурален и в линейке несколько средств на любой вкус так сказать. Избавится от кровоточивости десен мне помог спрей и раствор, раствором я пользовалась дома, а спреем на работе, чтобы эффективней лечение было. Помог очень быстро меньше недели, хотя говорят, что если десна начинают кровить, то тут десять дней минимум лечиться придется, но у меня все прошло быстрей.
У меня когда десна кровоточили было ощущение, что зубы нечищеные, хотя я старательно два раза в лень их чистила и после каждого приема пищи еще и полоскала, но видно и паста и ополаскиватель были неправильные. А перешла на пародонтоцид: пасту и ополаскиватель, то и запах с ощущением несвежих зубов прошли, а потом и десна кровоточить перестали и воспаление прошло. Пасту теперь раз в несколько месяцев для профилактики использую, а вот ополаскиватель постоянно.
Ой, была у меня такая проблема не так давно. Так десна кровоточили не только при чистке зубов, да и воспаленные были. Пошла на консультацию к стоматологу, а после зашла в аптеку и купила Холисал — это такой гель стоматологический, которым десна нужно мазать. Своим действием гель и воспаление и боль снял, десна в порядок пришли.
К врачу сходить не могу, как по мне так лучше народными лечить десна, или я не права?
Юлия, конечно же не правы. Такое лечение может к нехорошим последствиям привести. Лучше найти час времени и сходить к врачу. Мне к примеру назначал специалист Холисал, про который выше пишут. Воспаление он и правда не плохо снимает, при этом и десна кровить перестают.
Тоже вот сначала не обращала внимание на то, что зубы кровоточат, потом в интернете начиталась и побежала в стоматологию. Мне там посоветовали полоскать полость рта Стоматидином и вот после этого у меня десна перестали кровоточить. Щетку меняю каждый месяц.
Вообще конечно же лучше к врачу в таких ситуациях обращаться. Я вот к примеру именно так и сделала. А врач посмотрел, назначил холисал гель применять. Воспаление, боль снизились, так как этот гель воздействует своим действием на вирусы, бактерии и грибы
Вот и я стала замечать, что при чистке зубов стали десна кровоточить.
Конечно, надо чтобы врач посмотрел, я сам был стоматолога и мне назначили лечение. Это и полоскание и прием лекарств, а еще я холисал гелем мазал десна, очень хорошо он мне обезболивал. А еще я так понял, что он и воспаление снимает и на бактерии действует, так что лечение я прошел и сейчас в норме.
А я вот сходила к врачу, так теперь вылечиться не могу никак. Десны кровоточили и при чистке, и в покое. Почему-то врач назначил таблетки трихопол и полоскание хлоргексидином. От трихопола такая побочка пошла — до сих пор присутствует металлический вкус во рту, жжение, хотя давно бросила его пить. Так что выработался комплекс по отношению к врачам, хотя, конечно, среди них есть и профессионалы.
Десна у меня слабые, часто воспаляются, могут и закровить, но стараюсь до этого не доводить. Если вижу, что десна воспалена, к стоматологу иду. Он мне в таких случая гель холисал назначает из основного. Гель классный, легко на десны наносить, обезболивает хорошо и воспаление с отечностью снимает. За несколько дней все проходит.
Так неприятно когда десны кровоточат. У меня бывает такое время от времени. Стоматолог говорит, что нужно лучше чистить.
То, что зубы нужно тщательно чистить, это правда. Ведь остатки пищи остаются и потом воспаление получается. У меня как-то кровоточили десна, так я Холисалом мазала. Хороший гель, кстати. Долго держится, на вкус приятный, воспаление и кровоточивость помог убрать.
стамотолог мне и испортил все здоровье старайтесь обращаться в проверенные платные дорогие клиники, потому как в плохих и дешовых и тем более бесплатных вам могут попортить ваше здоровье. И на тех кто его портит заяву пишите нехрен дебилам там сидеть по родственным связям.
Если десна начинают кровить, то лучше к стоматологу сходить, а то серьёзное ведь что-то может быть. У меня как-то было, что десна воспалились, а к врачу не пошла. Так через время они и кровить стали. Теперь не дожидаюсь этого, сразу к стоматологу иду, если воспаленность замечаю. Стоматолог обычно холисал гель мне назначает, который обладает, помимо прочего, обезболивающим и противовоспалительным действиями. Через несколько дней применения геля этого с деснами все ок.
Спасибо за информацию, возьму на заметку. У меня частенько появляется кровь во время чистки зубов.
Если кровь периодически появляется, лучше, конечно, к стоматологу обратиться, ведь это может быть началом серьезной проблемы. Лучше не запускать и сразу принимать меры. Мне в такой ситуации врач назначал мазать десна гелем Холисал. Мне помог хорошо. Воспаление и кровоточивость прошли, ни во что серьезное не вылилось. Кстати сама текстура геля мне понравилась, он держится на деснах.
Если есть проблемы с деснами, то их обязательно нужно решать. Хорошо, что мне стоматолог посоветовал применять холисал гель при проблемах с деснами. Мне это средство по своей эффективности и составу нравится.
я ходила на чистку зубов, от камня, и сейчас у меня десна кровят.
Арина, видимо десну задели, хотя после такой процедуры — это вполне нормально. сама после чистки обязательно десна холисал гелем мажу, чтобы их в норму привести, избавиться от воспаления.
спасибо, не знала о таком средстве, буду теперь иметь ввиду.
У меня с недавнего времени тоже появились некоторые проблемы с деснами, стали воспаляться и кровоточить. Стоматолог посоветовал взять стоматологический гель холисал. Его и взяла. Расход у него очень экономичный, он приятный на вкус. Отлично снижает воспаленность, легчает после использования. Так что при таких проблемах я за этот гель.
Не могу понять почему, но у меня стали кровить десна. Ужас просто какой-то(
Лера, к врачу обратитесь. Ведь если десна вовремя не начать лечить, то могут серьёзные проблемы начаться, вплоть до потери зубов. Думаю вам этого не хотелось бы. У меня на такие случаи всегда холисал гель есть в аптечке, вот его и применяю при проблемах с деснами.
Сходила на чистку зубов((( теперь десна кровоточат, ужас в общем(
Ирина, стоматологи ведь тоже люди, может врач задел десну. У самой такое было. Так если после отбеливания зубов начинаются проблемы с деснами, то применяю холисал гель. Меня это средство по своей действенности полностью устраивает.
Воспаление и кровоточивость десен как мне кажется игнорировать нельзя, все-таки это и боль, и вдруг бактерии с микробами попадут. Я в таких случаях висцидом начинаю полоскать рот. Ополаскиватель положительно влияет на десна, снижаются и боль, и воспаленность, плюс обладает противомикробным и антибактериальным свойствами! А недавно увидела, что висцид теперь в форме спрея выпускается — удобно.
Я висцид предпочитаю использовать, когда десна воспаляются. Беру обычно в форме ополаскивателя и зубной пасты еще. Это лекарство облегчает состояние десен + повышает местный иммунитет. Так же радует, что в составе висцида одни травы!
Очень хорошо зубная паста пародонтоцид работает. Она бережно и эффективно способствует уменьшению воспаленности и кровоточивости десен. Все-таки паста лечебная, в аптеке продается! Я ее только использую, очень нравится, и самое главное десна в полном порядке. Ну и дыхание замечательно освежает.