Гингивит (от лат. gingiva — десна) — воспалительное заболевание тканей десен, сопровождаемое, как правило, постоянным неприятным запахом изо рта, а также болезненностью и кровоточивостью дёсен. Это весьма распространенное заболевание, которое беспокоит около 50% обращающихся в клинику пациентов.
По степени распространения гингивит разделяют на локальный — поражающий один сосочек десны или ее часть, которая находится между двумя зубами (для обозначения этой патологии иногда применяют отдельный термин папиллит), и распространенный — поражающий большую часть десны, вплоть до охвата всей челюсти или ее половины.
В этой статье мы рассмотрим что такое гингивит, его симптомы и подробные фото, а также современные способы лечения и профилактики.
Причины
Почему возникает гингивит, и что это такое? Стоит отметить, что причины гингивита могут быть самыми различными, включая внутренние и внешние факторы, влияющие на развитие заболевания.
К внутренним факторам относятся:
- прорезывание зубов мудрости;
- нехватка витаминов и микроэлементов;
- нарушения обмена веществ;
- ослабленный иммунитет;
- сахарный диабет;
- заболевания желудочно-кишечного тракта;
- стрессы и психические расстройства и др.
К внешним факторам относятся:
- травмы и ожоги слизистой;
- пломбы, брекеты, виниры, которые были неправильно установлены и травмируют ткани полости рта;
- курение;
- ротовое дыхание, являющееся следствием хронического ринита, гайморита, полипов в носу или просто вредной привычкой;
- недостаточная гигиена полости рта (наиболее распространенная причина гингивита у взрослых, приводящая к скоплению зубного налета, а значит и микроорганизмов, выделяющих токсины и способствующих началу воспаления);
- инфекционный процесс в полости рта.
Основная причина гингивита кроется в недобросовестном уходе за зубами, что может привести к образованию зубных бляшек (о чем красноречиво свидетельствует гингивит на фото в своем классическом проявлении).
В диагностике гингивита врачу необходимо быть очень внимательным — возможно, он является симптомом какого-то другого заболевания — например, патологии желудочно-кишечного тракта, инфекционных и вирусных заболеваний, болезней сердца и сосудов, печени, кроветворных органов, изменения гормонального фона.
Классификация
Симптоматика данного заболевания у детей и взрослых определяется тем, в какой форме оно находится. Различается несколько форм гингивита, при которых необходимы немного отличные подходы к лечению:
- Язвенный (некротический) гингивит — воспаление десен с преобладанием процесса патологических изменений в тканях пародонта. Помимо классических симптомов для язвенного гингивита характерно повышение температуры тела, головные боли, увеличение лимфатических узлов. Задержка лечения язвенного гингивита чревата распространением процесса некротизации на слизистую оболочку щек и миндалин. В некоторых случаях язвенный гингивит может стать причиной и одним из ранних признаков заболевания крови.
- Гингивит катаральный хронический. Заболевание часто протекает без выраженных субъективных ощущений, но иногда больные предъявляют жалобы на кровоточивость дёсен при чистке зубов или при приёме твёрдой пищи. При обследовании обнаруживают гиперемию и отёк межзубных сосочков и десневого края, теряющего свой естественный рисунок (исчезает фестончатость). Инструментальное исследование выявляет кровоточивость дёсен, обильный мягкий зубной налёт и очаги поддесневого зубного камня, отсутствие патологических зубодесневых карманов.
- Гипертрофический гингивит. Этот вид гингивита сопровождается очень сильной болью десен, зудом сосочков десен, значительной их кровоточивостью, значительным отеком и увеличением объемов десны, которая снаружи может частично закрывать зубные коронки. Десна при этом виде гингивита не становится рыхлой — она твердая, и под ней чаще всего возникает зубной камень, который провоцирует дальнейшее воспаление и развитие гингивита. Гипертрофический гингивит может служить причиной нестабильности зубного ряда и подвижки зубов.
- Атрофический гингивит может быть следствием неправильного лечения острого гингивита. Характеризуется минимальным наличием воспалительных явлений и быстро возникающим атрофическим процессом с постепенным обнажением шейки зуба. Чаще встречается у детей.
По течению различают гингивиты острые, хронические и обострившиеся.
- Острая форма характеризуется выраженной клинической симптоматикой, резким ухудшением самочувствия больного и быстрым обращением его за медицинской помощью.
- Для хронической формы характерно вялое длительное течение, когда не происходит резкого нарушения пищеварительной, вербальной и других функций рта.
- Обострившейся называют форму хронического течения, когда вялый ход болезни обостряется с появлением всех классических признаков острого гингивита.
В зависимости от течения заболевания, проводят соответствующее лечение, которое может заключаться как в профессиональной чистке ротовой полости, так и в хирургическом методе лечения.

Симптомы гингивита
При возникновении гингивита у взрослых основные симптомы — покраснение десен, отек, боль различной интенсивности, повышение чувствительности и раздражимости слизистой, изменения контуры десны.
При развитии воспаления борозда десны смещается внутрь, образуя десневой карман. При этом усиливается чувствительность десен, появляется болезненность. Десна выглядит раздраженной, край ее красный. После появления кровоточивости больному становится трудно жевать пищу и глотать ее.
Неприятный запах изо рта — еще один нередкий спутник гингивита, который иногда выступает в качестве причины первичного обращения к врачу. Также очень частой жалобой является извращение вкуса, появление металлического, солоноватого привкуса.
Для язвенно-некротической формы гингивита характерны следующие признаки:
- слизистая оболочка покрывается язвами;
- в дальнейшем появляются участки некроза;
- слизистая оболочка отличается значительной болезненностью;
- появляется неприятный запах изо рта;
- наступает ухудшение общего состояния ;
- больные чувствуют слабость, упадок сил;
- в некоторых случаях фиксируется повышение температуры тела (она может достигать 39 градусов);
- лимфатические узлы увеличены.
Несколько слов следует сказать и про симптомы более редких форм гингивита. Так образование небольших пузырьков на деснах, мешающих приемам пищи, характерно для буллезного гингивита. Открытие межзубных промежутков, оголение шейки зуба встречается при атрофическом гингивите. При этом болезненных ощущений и кровоточивости может не наблюдаться.
Следует отметить, что гингивит может быть не только самостоятельным заболеванием, а симптомом более глубокого поражения тканей, например, пародонтита или пародонтоза. В таком случае гингивит пройдет только при полном излечении всех околозубных тканей.
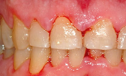
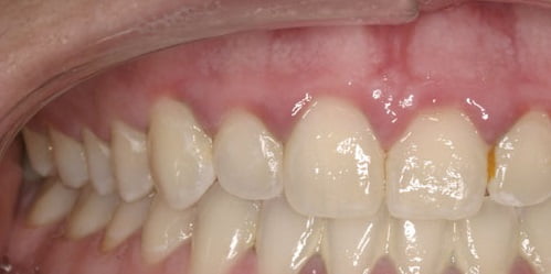
Гингивит: фото
Как выглядит гиггивит у взрослых и детей, предлагаем к просмотру подробные фото, на которых видно характерные симптомы заболевания.

Диагностика
Постановка правильного диагноза очень важна. Под симптомами гингивита могут скрываться серьезные заболевания ротовой полости (например, пародонтит, пародонтоз). Диагноз ставит врач-пародонтолог, принимая во внимание жалобы пациента, результаты осмотра, проведенных лабораторных исследований и функциональных тестов.
Гингивит у детей, взрослых людей отличается от других заболеваний тем, что воспаление затрагивает лишь десна. Костная ткань, мышечные связки не изменяются.
Как лечить гингивит
При возникновении гингивита лечение включает в себя несколько этапов и проводится у стоматолога. Чтобы вылечить гингивит, необходимо запомнить три главных правила его лечения:
- Комплексный подход. При лечении любой формы заболевания необходимо использовать как местную, так и общую терапию. Лечить необходимо не только симптомы, но и устранять причины развития заболевания.
- Индивидуальный подход. Правильно выбранное лечение обязательно должно учитывать все сопутствующие факторы заболевания, состояние здоровья и иммунной системы больного.
- Систематичность. Если заболевание перешло в хроническую форму, то необходима систематизация лечения чтобы вывести его в стойкую ремиссию.
Терапия несколько отличается в зависимости от формы заболевания, но лечение любого гингивита необходимо начинать с устранения очагов инфекции в ротовой полости (лечение кариеса) и удаления твердых зубных отложений. Эти процедуры может выполнить только стоматолог, не стоит пытаться снять зубные камни в домашних условиях какими-либо народными методами. Это может только травмировать воспаленные десны и усугубить патологический процесс.
Зачастую гингивит свидетельствует о снижении защитных сил организма. Поэтому помимо устранения воспалительного процесса, лечение также должны быть направлено на повышение общих защитных функций организма . В этом случае вполне оправдано назначение иммунокорректоров. Препараты данной группы активизируют защитные силы слизистой полости рта.
Прогноз при гингивите благоприятный, но при отсутствии лечения процесс может перейти в глубокую форму — развиться пародонтоз, при котором возможно выпадение зубов.

Профилактика
Для эффективной профилактики гингивита необходимо регулярно чистить зубы утром (после завтрака) и вечером (перед сном). Наиболее эффективны зубные щетки средней жесткости, так как мягкие плохо очищают зубы от налета, а жесткие могут травмировать десну. Желательно после каждого приема пищи желательно пользоваться зубной нитью для удаления остатков пищи из межзубных пространств или тщательно полоскать ротовую полость водой.
Своевременное (не реже, чем раз в 6 месяцев) посещение стоматолога позволит минимизировать риск возникновения гингивита. При склонности к формированию зубного камня врачом регулярно проводится полная очистка зубов от налета.
Мне между прочим мой стоматолог из он клиник говорил что среди причин развития гингивита немаловажную роль играют и внутренние заболевания уже имеющиеся — диабет, болезни желудка и кишечника, при дефиците витаминов могут десна кровить и еще кариес тоже среди причин гингивита отмечают.
Так что лечение комплексным должно быть и не только в кабинете у стоматолога. У меня правда гингивит развился из-за того, что щетка очень жесткая была, поэтому лечить проще было. Почистил врач зубной камень, назначили гель специальный закладывать и полоскания. За пару дней десна кровить перестали, а окончательно за неделю где-то все прошло.
У меня гингивит, был лично по- моей вине. Регулярно десны не полоскала , так и получился гингивит. Потом пародонтоцидом пролечилась ( утром и вечером десны полоскала) и таким образов получилось от гингивита избавится.
Гингивит неприятное заболевание, но лечится достаточно быстро. Я буквально за три дня концентрированным раствором пародонтоцид справилась с ним. Спасибо моему стоматологу за рекомендацию. Ну а чтобы не повторился больше использую ежедневно ополаскиватель. кстати, эти средства продаются только в аптеках — так как они лекарственные, а не косметические. И лечат ротовую полость.
Как по мне, лучше всего со всеми этими неприятностями во рту справляется пародонтоцид, причем какое средство из линейки не возьми, каждое лекарственное, и кстати, купить можно только в аптеке, все с эфирными маслами. Благодаря зубной пасте и раствору я забыла что такое кровоточивость десен и неприятный запах изо рта
Не знаю как другие, но мне при гингивите помог стоматологический гель холисал! Он снимает воспаление и боль, что очень важно. Каких-либо побочных действий я не увидела у себя. А еще я ополаскивателем пользовалась, думаю сейчас надо его вновь начать использовать для профилактики. Вот так я лечила гингивит, все вместе мне помогло.
Гингивит очень неприятное заболевание, мало того, что десна болят постонно, так еще и ощущение, что во рту котики ночевали. Я долго всякими целебными травами полоскала, но помогало не надолго. А сходила к врачу, то и нашли лечение. Во-первых прекратить монодиету диету, из-за неправильного питания десна страдают. А во вторых, лечить воспаление. Со вторым оказалось легче чем с первым, раствором пародонтоцид лечила. Только и надо было что полоскать и рот и все =) Заболевание прошло быстро.
Кстати, пародонтоцид, отлично помогает и не только раствор, а вся линейка. За несколько дней воспаление во рту проходи, как и не было.
Я пользуюсь холисал гелем, когда у меня возникают проблемы с деснами, всегда все в норму приходит с ним. Именно поэтому он у меня всегда дома есть.
Спасибо за информацию.
Все же нужно к врачу обращаться, на мой взгляд. Я вот, к примеру, пошла к врачу, а врач мне холисал гель посоветовал. Так даже без полосканий разных обошлось. Вполне хватило действия этого средства, чтобы воспаление снизить, десна в порядок привести.
Висцид у нас всегда лежит в домашней аптечке, так как он по действию очень хороший — с проблемами десен на отлично справляется, уменьшает воспаление и боль. У дочки пару раз стоматит был, тоже этот ополаскиватель применяла — все сработало, ранки затянулись. Нам нравится)
У меня были с деснами проблемы из-за кривых зубов. Но при этом долго не могла решиться на исправление. Брекеты ставить не хотелось от слова совсем. Поэтому когда появились лайнеры, наконец отважилась. Систему носила стар смайл. В плане ношения никаких проблем не было. И зубки сали идеальными. И с деснами проблемы тоже сошли на нет.
С проблемой частой воспаленностью десен и их кровоточивостью обращалась к стоматологу. Посоветовали мне заменить щетку на самую мягкую, и периодически пользоваться ополаскивателем на травах — висцидом. Кстати, десна перестали беспокоить, не кровоточат и не болят. А если ополаскивателем не удобно пользоваться, то можно взять спрей!
Чтобы осложнений не было и выздоровление шло быстрее, могу рекомендовать эваларовский мирамед. Антисептическим и бактерицидным действием обладает, причём стоит недорого. Его и врачи часто рекомендуют, как одно из самых эффективных средств при подобных болячках…Даже при банальном кашле может помочь
Гингивит очень неприятное заболевание, сама с ним сталкивалась. Десны болели, кровоточили, я еще неделю наверное не могла дойти до врача, вся измучилась. В итоге назначили гель Пародонтоцид, использовала в виде аппликаций (на бинтик и на десны прикладывала), чуть покалывает, но при этом очень хорошо помогает и боль унять, снимая воспаление. И десны зажили хорошо и перестала кровь появляться. Очень хорошее средство, лекарственное (продается в аптеке).
Ко врачу надо иди когда десна беспокоят чтоб без зубов не остаться.
У меня десны вообще в принципе склонны к воспалениям, могу посоветовать хорошую лечебную пасту, называется Пародонтоцид. Покупала в аптеке. Состав отличный, воспаление помогает уменьшить, и заживает быстрее с ним. Мне изначально при гингивите пасту стоматолог советовал, но я теперь и для профилактики ее просто использую. Нравится как чистит и как освежает. Короче классная)