Кариес — это патологический процесс, проявляющийся после прорезывания зубов, при котором происходит деминерализация и размягчение твёрдых тканей с последующим образованием полости.
Кариес в переводе с латыни означает гниение, и это слово довольно точно описывает состояние зубов при этом заболевании. Он, с большей или меньшей частотой, встречается во всех регионах, среди всех слоев населения и возрастных категорий.
На первый взгляд, кариес — безобидное заболевание, но он является самой большой проблемой, с которой сталкивалась стоматология. По статистическим данным более 95% людей страдают недугом в той или иной стадии.
В этом материале мы рассмотрим распространенное заболевание — кариес, что это такое, его начальные симптомы с фото, а также причины, лечение и меры профилактики, которые помогут избежать данной проблемы.
Причины кариеса на зубах
Основополагающей причиной возникновения кариеса на зубах считается местное изменение кислотности на зубной поверхности под налётом (или зубным камнем) вследствие образования органических кислот в процессе гликолиза углеводов микроорганизмами.
Предрасполагающие факторы, которые способствуют началу проблем с зубами:
- неудовлетворительное гигиеническое состояние полости рта;
- нерегулярное посещение стоматолога;
- слабый иммунитет организма;
- богатое сахаром и простыми углеводами питание;
- низкое содержание кальция, фтора и фосфора в питьевой воде;
- наследственная предрасположенность;
- зубные протезы или брекеты, травмирующие эмаль зубов и затрудняющие гигиенические процедуры;
- влияние общих заболеваний организма (например заболеваний желудочно-кишечного тракта. Также заболевание могут провоцировать — цинга, рахит, остеохондроз, экссудативный диатез, сахарный диабет.
В целом основной причиной разрушения зубов является недостаточный уход за полостью рта, использование плохих зубных паст, а также игнорирование стоматологов. В связи с этим, стоит заранее озаботиться профилактикой кариеса, так как лечить эту проблему явно сложнее и дороже.
Симптомы и стадии
Кариес, как прогрессирующее заболевание, имеет несколько стадий своего развития. Коротко рассмотрим основные стадии:
- Стадия пятна. При осмотре на поверхности зуба обнаруживается белое или темное пятнышко. На этой стадии человек обычно не испытывает никаких неприятных ощущений.
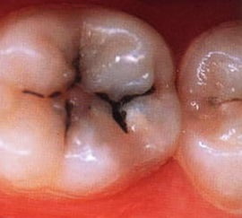
- Поверхностный. Кариозное пятно при отсутствии лечения перерастает в кариес эмали, происходит разрушение твердой оболочки зуба. На этой стадии на поверхности эмали уже можно различить углубление или полость, появляется чувствительность к холодному или горячему.
- Средний. Пациенты со данным типом кариеса жалуются на боли от температурных, химических и механических раздражителей, при устранении которых дискомфортные ощущения проходят весьма быстро. Средний тип характеризуется возникновением полости, но затрагивает только поверхностные слои дентина.
- Глубокий. Развивается, когда в результате отсутствия лечения патологический процесс проникает в околопульпарный дентин. Кариозная полость наполнена размягченным дентином, она становиться больше, прикосновение к ней вызывает ощутимую боль. Продолжающееся деградация дентина приводит к поражению пульпы зуба, вследствие чего возникает пульпит, а в скором будущем и периодонтит.
Процесс возникновения пятен на зубах происходит медленно, поэтому его визуально легко заметить взрослому человеку и для того, чтобы избавиться от кариеса на начальном этапе, следует сразу же записаться к стоматологу.

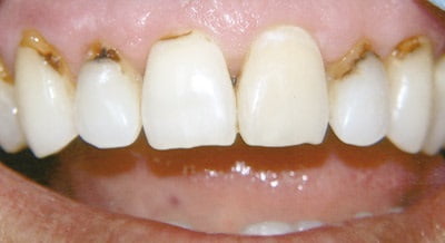
Пришеечный кариес
Пришеечный или прикорневой — самая опасная разновидность кариеса, который возникает на зубе в зоне, где он соприкасается с десной и непосредственно — под ней у корневой зоны зуба.
Начинается заболевание с потемнения эмали зуба, появления в пришеечной его области небольшого темного со временем увеличивающегося в размерах пятна. Завершающий симптом пришеечного кариеса — образование отверстия, так называемого «дупла» в зубе.

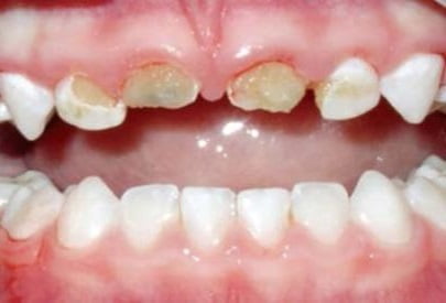
Бутылочный кариес
Бутылочный тип поражает пришеечные области верхних резцов и клыков и проходит несколько стадий: стадию деминерализации, разрушения эмали, разрушения эмалево-дентинного соединения, глубокого поражения твердых тканей зуба. В основном встречается у детей младшего возраста.
Первым признаком возникновения этого заболевания является появление светло-белых пятен, которые расположены на передних зубах. Обращение к стоматологу на этом этапе гарантирует полное излечение специальными реминерализующими гелями без повреждения целостности зубов и неприятных манипуляций.

Прикорневой кариес
Наиболее сложным в отношении лечения и опасным по своим осложнениям является прикорневое поражение зубов. Данная форма заболевания развивается в прикорневой области. Причиной этого вида кариеса является анатомические особенности данной зоны.
Основным симптомом начала прикорневого поражения зуба является появление резких, но кратковременных болезненных ощущений при прикосновении к причинному зубу. Также можно отметить потемнение эмали, изменение ее целостности, появление запаха изо рта.

Кариес у детей
Заболевание может появиться у ребенка в самом раннем возрасте, когда еще не успели сформироваться и занять свое место все молочные зубы. И уже тогда зубам необходимо лечение. В ином случае детский кариес может «перерасти» во взрослый, повредив постоянный зуб еще до его возникновения.
При небольших разрушениях молочного зуба проводится процедура серебрения эмали, при большом повреждении его тканей — пломбирование. Особенностью лечения детского кариеса является психологический фактор: стоматологу важно успокоить малыша и вызвать у него доверие, а преодолев его страх, провести лечение в течение 30 минут.
Лечение кариеса
В первую очередь лечение кариозного поражения зубов зависит от формы и стадии заболевания.
- В начальной стадии кариес лечится методом реминерализующей терапии (аппликации) с предварительной очисткой зуба от налета. Процедура повторяется до тех пор, пока пятно не исчезнет.
- Лечение поверхностного кариеса, в большинстве случаев, не требует препаровки и пломбирования. Достаточно сошлифовать поверхность эмали в пораженном месте и провести реминерализующую терапию как при начальной форме.
- Если кариес достиг средней стадии, то лечебные процедуры заключаются в удалении пораженного участка зуба. После этого проводится обработка лекарственными препаратами и установка пломбы.
- При глубоком кариесе иногда бывает целесообразно депульпировать зуб, то есть удалить нерв. Сильно разрушенные зубы закрывают коронкой.
Современная стоматология использует различные анестетики, успокоительные средства, позволяющие пациенту безболезненно пережить процедуру лечения кариеса. Поэтому не стоит бояться стоматолога, ведь лечить запущенные стадии будет намного сложнее.
Как лечить кариес в домашних условиях
Если лечение кариеса не провести вовремя, то он способен приобрести более тяжелую форму, например, перейти в периодонтит или пульпит, с последующей потерей зуба.
Поэтому, если процесс разрушения зуба уже начался, то вылечить кариес в домашних условиях не представляется возможным. Все домашнее лечение сводится к устранению неприятных проявлений болезни.
Если Вы находитесь дома, у Вас болит зуб и наблюдается припухлость лица или челюсти:
- Прикладывайте лед на внешнюю часть щеки (ни в коем случае нельзя прикладывать горячую грелку).
- Примите безрецептурное болеутоляющее средство, например: ибупрофен, ацетаминофен.
- Аспирин также снимает припухлость, но имеет некоторые противопоказания. Его нельзя принимать беременным, людям у которых кровоточат десны и лицам, которым еще не исполнилось 20 лет.
Важно понимать, что если началось разрушение зуба, то самостоятельно оно не вылечится и будет только прогрессировать, при этом народные средства также не помогут избавиться от кариеса.
Профилактика кариеса
С целью профилактики кариеса рекомендуется снижение количества потребления углеводов, регулярное соблюдение гигиены ротовой полости, использование фторсодержащих зубных паст.
Также следует помнить, что чистить зубы каждый день нужно дважды: утром, после приема пищи, и вечером, перед отходом ко сну. Сам процесс должен занимать не менее 4 минут. Щеткой необходимо совершать круговые движения, либо делать это так, чтобы движения шли от десны к краю зуба.
изготовление 2 х челюстных затворов фото
лечение флюса по полюсу в частной клинике
использование плечевой массы к коронкам
Для профилактики ещё очень важно, чтобы в организме присутствовало достаточное количество кальция и он шёл именно в зубы и кости, а не в сосуды, сердце и почки. Для этого нужно принимать эваларовский витамин Д3 максимум 2000 ме в мягких желатиновых капсулах. Способствует усвоению кальция и сам по себе усваивается отлично.
Всем привет! А где в Москве можно полечить кариес? Чтобы врачи хорошие были.
Если нужно только кариес полечить, то могу своего врача порекомендовать. В клинике доктора Разуменко Устинова Елена Федоровна, шикарный врач. Телефон без проблем найдете в интернете.