Пародонтоз — это не такое частое заболевание, как гингивит и пародонтит: оно встречается лишь у 3-10% людей, развивается не за один день, месяц и даже год.
Для отчетливой клинической картины требуется 10-15 и даже 20 лет, поэтому течение его всегда хроническое. Пародонтоз бывает легкой, средней и тяжелой степени. Степени тяжести может определить только врач по рентгенологическому снимку и измерению величины обнажения корней.
Как лечить пародонтоз правильно? Давайте разберемся, что такое пародонтоз и как его лечить по современным стоматологическим разработкам. Узнаем, как избавиться от болезни средствами народной медицины, какие необходимы меры профилактики этого недуга, к какому специалисту следует обращаться.
Причины
Почему возникает пародонтоз, и что это такое? Пародонтоз зубов — это системное заболевание невоспалительного характера. В отличие от созвучного ему заболевания, пародонтоз не сопровождается кровоточивостью десен, не образуются патологические пародонтальные карманы, не накапливается нагноение в пародонтальных карманах, а также менее выражен характерный малоприятный запах изо рта.
Причины пародонтоза точно не установлены, считается, что важную роль играет наследственная предрасположенность. Часто возникает при системных заболеваниях, сахарном диабете и др. нарушениях деятельности желёз внутренней секреции, при хронических заболеваниях внутренних органов ( атеросклероз, гипертония, вегетососудистая дистония), а также поражениях костей (остеопении).
Считается, что причиной пародонтоза является недостаточность кровоснабжения тканей десны, которое в тяжелых, запущенных случаях приводит к ее атрофии и, как следствие, к потере зубов.

Симптомы пародонтоза
Заболевание начинается с разрежения костной ткани зубных альвеол, в результате чего происходит их атрофия. Рентгенологически это проявляется уменьшением костномозговых пространств, появлением мелкоячеистого рисунка кости, уменьшением объема костной ткани между зубами, очагами остеопороза.
Вслед за костными изменениями появляются изменения со стороны десен — они начинают истончаться, опускаться, обнажая корни зуба. Зубы при этом становятся чувствительными к химическим и температурным факторам.
В целом для пародонтоза характерны следующие симптомы:
- Незначительный налет на зубах;
- Частичное обнажение зубных шеек (иногда с повышением чувствительности в этих местах);
- Десны окрашены в бледный цвет;
- Наличие зуда в деснах;
- Шейки зубов обнажаются без образования десневых карманов и без скопления в них гноя (то есть без воспалительного процесса).
Пародонтоз развивается очень медленно и на первых порах вообще никак себя не обнаруживает. Условно можно выделить 3 стадии заболевания:
- Бессимптомное развитие патологии. Происходят изменения в околозубных тканях. Обычно разрушительные процессы не сопровождаются болью или дискомфортом.
- Медленное смещение зубов. Дистрофия десен приводит к просвечиванию шейки зубов сквозь десны. Наблюдается постепенное увеличение щелей между зубами. Усиливается чувствительность зубов и десен к внешним раздражителям.
- Нарушение фиксации зубов, их шаткость, возможное выпадение. До этого момента пародонтоз «дорастает» за 10-15 лет.
Чем раньше будет обнаружен пародонтоз, тем более эффективным и безболезненным окажется лечение.
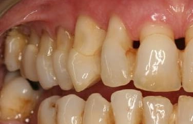
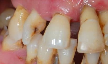
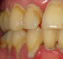
Пародонтоз: фото
Как выглядит пародонтоз, фото клинических проявлений заболевания представлено ниже.

Диагностика
В постановке диагноза стоматолог опирается, прежде всего, на клиническую картину пародонтоза, к которой относятся все вышеперечисленные симптомы, а так же на жалобы пациента.
В клинике самый важный признак, по которому можно определить стадию заболевания, дальнейшее лечение и прогноз — это атрофия альвеолярного отростка. Для того чтобы определить степень атрофии визуального осмотра обычно не достаточно. Стоматолог назначает дополнительное исследование — рентгенографию. На снимке отчетливо видна степень резорбции костей, на которых держаться зубы.
Лечение пародонтоза
Проводится лечение пародонтоза врачом-пародонтологом и должно быть направлено на восстановление десневого соединения, при этом во время терапии пародонтоза нужно учитывать индивидуальные особенности пациента, сопутствующие заболевание и возраст. Так, в группе пациентов старшего возраста с пародонтозом часто присутствуют патологии сердечно-сосудистой системы, эндокринные заболевания и нарушения обмена веществ.
Схема лечения пародонтоза предусматривает следующие манипуляции:
- Первичный осмотр.
- Рентгеновское фото, прочие диагностические исследования.
- Удаление зубного налета, камня.
- Общая и местная фармакотерапия — применение противовоспалительных препаратов, витаминов, гормональных средств.
- Физиотерапевтическое лечение — активизация кровоснабжения десен.
- Санация ротовой полости — лечение кариеса, удаление разрушенных зубов, корней.
- Шинирование — уменьшение подвижности расшатанных зубов.
- Хирургическое лечение.
- Протезирование.
Таким образом, стоматолог проведет лечение, направленное на оздоровление ротовой полости и профилактику возникновения во рту и распространения по всему организму инфекции, воспалительных процессов и иных заболеваний. Однако для исключения обратного действия (ухудшения состояния зубов и околозубной ткани в результате внутренних сбоев в работе организма) необходимо регулярное наблюдение и лечение основного заболевания.
Как лечить пародонтоз в домашних условиях
Когда разговор идет о пародонтозе, то лечение в домашних условиях народными средствами возможно только параллельно с лечением в условиях стоматологической клиники. Согласно отзывам, комплексная терапия дает наиболее быстрый и эфеективный результат.
Представим вам наиболее эффективные и обоснованные народные рецепты, которыми еще пользовались наши бабушки и дедушки:
- Хорошо зарекомендовало себя народное лечение пародонтоза с помощью соли. Всего после трех процедур симптомы пародонтоза станут значительно менее выраженными. С помощью мелкой соли или крепкого солевого раствора делают массаж десен. Массаж выполняют до тех пор, пока из десен не выйдет вся сукровица. Затем рот полощут раствором гидроперита, состоящего из 1 таблетки гидроперита и стакана воды.
- Лечение пародонтоза в домашних условиях можно осуществлять при помощи обыкновенной квашеной капусты. Капусту следует долго жевать, а также полоскать капустным соком рот. Всего через 7 дней Вы почувствуете значительное облегчение.
- Сушеные листья брусники, количеством шесть граммов, нужно залить стаканом кипятка и кипятить около 20 минут. Процедить и охладить при комнатной температуре и полоскать рот полученным отваром не менее 5 раз в день.
- Это очень действенное народное средство лечения зубов. Аир проникает в корни зубов и обезболивает их, а прополис пломбирует все микротрещины. Возьмите пол-литра 40%-й водки и всыпьте полстакана корней аира. Это первый настой. Для приготовления второго возьмите ещё пол-литра 40%-й водки и всыпьте 15–20 граммов растёртого прополиса. Оба настоя нужно настаивать 7–10 дней. Обе настойки применяют одновременно. Смешайте одну столовую ложку настойки аира и чайную ложку настойки прополиса. Этим составом полощите рот 2–3 минуты. Процедуру делают перед сном, либо можно делать во время сильной боли. Через 1–3 дня боль полностью пройдёт. Длительность лечения составляет 3–5 недель.
- Желая вылечить пародонтоз народными средствами, можно воспользоваться спиртовым экстрактом прополиса. Для этого 20 капель настойки прополиса разводятся в 1 стакане (200 гр.) воды. Применяется для полоскания ротовой полости.
Другой способ, предусматривающий прием средства от пародонтоза внутрь это использование перекиси водорода. Пару капель перекиси водорода можно добавлять также в зубную пасту либо протирать десны разбавленным в воде раствором. Самое главное в лечении пародонтоза перекисью водорода не переусердствовать в дозировке:
- Одна капля перекиси водорода на 50 мл воды: принимается за полчаса до еды либо через 2 часа после еды и не более 3-х раз в день. Если в течение 1-3 дней нет побочных эффектов, то курс лечения можно продлить до 10 дней.
- Для протирания десен: не более 10 капель перекиси водорода на 50 мл воды.
- Общая рекомендация: не более 30 капель перекиси, разбавленной в воде в сутки.
Также из продуктов пчеловодства успешно применяется мед: его втирают в десны (мед и соль берутся по массе в соотношении 2:1 и смешиваются до полного растворения соли). Этой смесью натираются десны (используйте мягкую зубную щетку или маленькую дозу заворачивают (как тюрю) в небольшую тряпочку.
Профилактика
Если говорить о профилактике возникновения патологических изменений пародонта, то основной мерой предупреждения болезни является своевременное и качественное лечение общих заболеваний, описанных в разделе о причинах пародонтоза.
Кроме того, свое значение имеет и полноценная санация ротовой полости, то есть регулярные посещения стоматолога, устранении зубных отложений, лечение кариеса, гингивита, пародонтита и других подобных недугов.
полировка между зубами
У меня пародонтит был. Десна сильно воспалялись и кровить начинали во время чистки зубов. Врач потом сказал, что и болеть могли начать, но не дошло до этого. Оказывается, камень зубной так негативно влиять на десна может. Мне тогда его удалили и гелем Холисал назначили десна смазывать неделю. За это время десна в порядок пришли, воспаление с первых дней на убыль пошло, к концу лечения десна здоровыми были.
Спасибо за статью.
Для людей, впервые столкнувшихся с этой проблемой,эта статья, просто находка. Огромное спасибо и всем крепкого здоровья!
Спасибо за добрые советыю
Я ополаскиватель висцид взяла, он борется с воспаленность десен при пародонтозе. Также стоматолога стараюсь чаще посещать. Он же недавно мне еще зубную пасту посоветовал, тоже висцид. Меня устраивает, десна сейчас меньше беспокоят.
Мне стоматолог посоветовал пародонтоцид взять в виде зубной пасты, она именно лечебная на основе эфирных масел. Использую только ее, каждый день. И благо десна в очень даже хорошем состоянии, не воспаляются, и не тревожат особо. Так что эта зубная паста стала мои спасением.