Кариес — стоматологическое заболевание, которое характеризуется разрушением твердых тканей зуба (эмали и дентина). На начальной стадии болезнь протекает бессимптомно, однако со временем в зубных тканях образуется полость. Это вызывает сильный дискомфорт, боли и в дальнейшем приводит к потере зуба.
Пришеечный (прикорневой) кариес — это самая опасная разновидность кариеса, который разрушает зуб у самого его основания. Он локализуется в области шейки зуба (придесневая зона). Такое заболевание быстро прогрессирует, поражает корневые каналы и может привести к перелому зубной коронки.
В связи с этим, лечить пришеечный кариес нужно немедленно. Своевременная терапия позволит избежать выпадения зуба и развития таких серьезных заболеваний, как пульпит, гингивит, периодонтит.
Причины возникновения пришеечного кариеса
Основная причина болезни — зубной налет, в котором содержатся вредоносные бактерии Streptococcus mutans. Из-за плохой чистки зубов он быстро скапливается на эмали и в десневых карманах. В процессе жизнедеятельности бактерии выделяют органические кислоты, вымывающие кальций из эмали. Как результат — образование кариозной полости.
Среди основных факторов, способствующих развитию пришеечного кариеса выделяют:
- Пренебрежение двухразовой чисткой, а также недостаточное удаление мягкого зубного налета — движения щеткой должны быть вычищающими — от десны вверх, а не растирающими, как чистят зубы многие люди.
- Анатомические особенности эмали возле десны. На прикорневых участках зубов эмаль очень тонкая, поэтому она сильно подвергается губительному воздействию кариесогенных организмов.
- Генетическая предрасположенность к расслаиванию десны становится причиной образования «десневых карманов», где со временем накопляются остатки пищи. В результате возникают кариозные полости и развивается кариес под десной.
- Нарушение секреции слюнных желез. Слюна в организме человека выполняет защитную функцию. Уменьшение количества вырабатываемой слюны приводит к снижению уровня защиты зубов от губительного воздействия бактерий, обитающих в полости рта.
- Отказ от профилактического посещения стоматолога. Большинству людей время от времени требуется проведение профессиональных гигиенических процедур — удаление твердого зубного камня, в котором, как и в мягком налете, обитают кариесогенные микроорганизмы.
- Прикорневой кариес может свидетельствовать об эндокринной дисфункции (развитии сахарного диабета или нарушении работы щитовидной железы).
Пришеечный кариес самый опасный среди всех видов этого заболевания, ведь он очень быстро повреждает корни и каналы зуба. У пациентов старше 60 лет именно поражение шейки зуба становится основной причиной его потери.
Симптомы
Основные симптомы пришеечного кариеса точно такие же, как и при возникновении других видов кариеса. На ранней стадии развития пришеечного кариеса на зубной эмали возникает небольшое светлое пятнышко, которое со временем темнеет, становится глубже, затрагивает дентин и со временем при отсутствии соответствующего лечения приводит к полному разрушению зуба.
Стадии развития пришеечного кариеса:
- Кариес, имеющий вид пятна. Данный этап выражается появлением маленького белого пятнышка, которое может пребывать без изменений долгое время.
- Кариес, нарушающий поверхность зуба. Поражается верхняя часть зуба — эмаль, человек чувствует холодное и горячее.
- Кариес средней стадии. Страдает эмаль зуба и дентин, появляется ярко проявляющаяся чувствительность на перепады температур. Боль исчезает достаточно быстро.
- Кариес глубокой стадии. Для этой стадии болезни характерно глубокое нарушение внутренности зуба, находящейся близко к нервам, боль мощная и нестерпимая, раздражение на все холодное и горячее.
Особенностью пришеечного кариеса является и то, что если его запустить, врачу придется удалять зубной нерв и пломбировать каналы зуба. Это связано с тем, что шейка зуба находится в непосредственной близости с зубными каналами, и если кариес вовремя не лечить, он быстро проникнет вглубь зуба.
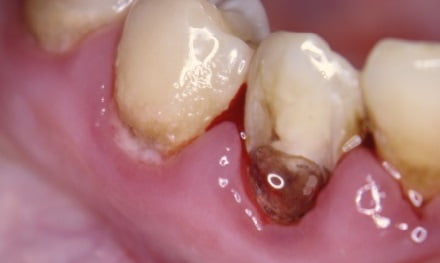
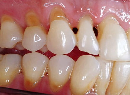
Пришеечный кариес: фото до и после
Как выглядит данный тип кариеса, предлагаем к просмотру подробные фото зуба.

Диагностика
Пришеечный кариес диагностируется хорошо, так как пораженные участки видны невооруженным взглядом. Пациент сам, смотря в зеркало, может без труда обнаружить у себя белые меловидные участки у основания зуба.
В некоторых случаях стоматологи применяют специальные растворы для точной диагностики и просят пациента прополоскать ими рот. Суть методики заключается в неспособности красителей проникать через здоровую эмаль, в то же время в местах деминерализации, пигмент легко проникает через пористую, поврежденную поверхность в дентин. Основное вещество зуба легко и быстро принимает заданную окраску и удерживает ее на протяжении нескольких дней.
Как лечить пришеечный кариес
В зависимости от тяжести течения и выраженности симптомов пришеечного кариеса, определяется схема лечения. Когда кариес выглядит еще как белые меловидные пятна, и верхний слой эмали не поврежден, обычно проводится консервативное лечение, а именно — реминерализация. При реминерализации лишенная кальция зубная эмаль насыщается этим минералом при помощи специальных препаратов, которые также содержат другие минералы. Такая процедура укрепляет эмаль и не дает кариесу развиваться дальше.
При образовании полости процесс лечения пришеечного кариеса должен включать следующие основные этапы: местную анестезию, удаление зубных отложений, препарирование дефекта и обработку полости, наложение лечебной и изолирующей прокладки (при лечении среднего и глубокого кариеса), постановку пломбы световой полимеризации, шлифовку и полировку пломбы.

Профилактика
Лучший способ предотвратить повторное возникновение пришеечного кариеса — это регулярно чистить зубы, стараясь тщательно прочищать их до самой шейки. Кроме того, регулярно посещайте стоматолога, ведь если кариес обнаружен на начальной стадии, вполне возможно будет обойтись простой реминерализацией.
Раз в 6-12 месяцев рекомендуется делать профессиональную чистку зубов, чтобы удалить с них отложения, которые содержат кариесогенные микроорганизмы