Пульпит зуба — воспаление мягкой ткани (пульпы), которая состоит из нервов, кровеносных сосудов и соединительной ткани. Воспалительный процесс протекает в пульпарной камере и корневом канале зуба.
Различают острый пульпит, когда зуб резко реагирует на холод и тепло или самопроизвольно болит, и хронический пульпит, при котором воспаление проходит без ярко выраженной клинической картины.
Если лечение пульпита происходит не своевременно и не качественно, то развивается заболевание — острый периодонтит. Такое заболевание опасно тем, что может произойти потеря зуба, начаться воспаление костной ткани, костного мозга, поражение мягких тканей, снижение иммунитета, проникновение в кровь инфекции.
Причины
Почему возникает пульпит, что это такое, и как лечить? Причинами пульпита могут быть:
- кариес — вследствие разрушения твердых тканей зуба в пульпарную камеру попадают микроорганизмы;
- травма зуба — ушиб может привести к хроническому воспалению пульпы зуба;
- осложнение других заболеваний — инфекция проникает в зуб через корень при наличии глубокого пародонтального кармана или кисты.
- врачебные манипуляции — неправильные действия стоматолога травмируют пульпу, что приводит к ее воспалению.
Инфекция является первоочередным фактором развития пульпита. Если в результате травмирования пульпа обнажается, то воспаление развивается в первые часы после травмы. Пульпит зуба редко возникает без кариеса, различных микроорганизмов и их токсинов. Иногда пульпит диагностируют и в здоровых молярах, что чаще всего объясняется травмированием зуба.
Классификация пульпитов
Врачи выделяют 2 основные формы пульпита:
- Острая — данная форма пульпита развивается по причине попадания в пульпу какой-то инфекции. После проникновения инфекции в пульпе возникает серозное образование, которое через довольно короткий промежуток времени становится гнойным.
- Хроническая — данная форма пульпита, как правило, развивается из-за несвоевременного лечения острой формы.
Для всех видов острого пульпита характерны самопроизвольные, приступообразные боли, которые усиливаются ночью.
- Очаговый острый пульпит — для него характерны кратковременные болевые приступы и длительные межболевые промежутки;
- Диффузная форма острого пульпита, проявляющаяся длительными приступами боли, резкой реакцией на температурные раздражители (преимущественно холод).
- Острый гнойный. Для этого вида пульпита характерен гнойный очаг в полости зуба (абсцесс). Заболевание сопровождается ухудшением самочувствия пациента. Боль пульсирующая, постоянная, безболезненных промежутков нет (в отличие от очагового и диффузного). Внешне выглядит как глубокое кариозное поражение в больном зубе. Внизу полости зуба появляется гнойное отделяемое, выход которого может ослабить боль.
Теперь рассмотрим основные виды хронического пульпита:
- Фиброзный пульпит — происходит разрастание волокнистой соединительной ткани, может возникнуть при переходе заболевания из острой формы в хроническую, боль не всегда острая, резкая, но всегда напоминает о себе при действии внешних раздражителей на зуб.
- Гипертрофический пульпит — происходит гипертрофическое разрастание пульпарной ткани через открытую кариозную полость, обычно встречается в молодом возрасте, а также у детей, характеризуется кровоточивостью десны вокруг пораженного зуба и болью при жевании.
- Гангренозный пульпит — в коронковой пульпе обнаруживается распад ткани, отличается сильными приступами боли, особенно под воздействием горячей пищи или горячего чая, кофе.
В зависимости от тяжести течения и выраженности симптомов пульпита, определяется схема лечения.

Симптомы пульпита
Распознать пульпит зуба довольно несложно. При развитии данного заболевания больной, как правило, чувствуют сильнейшую зубную боль, которая в большинстве случаев появляется ночью и приносит ряд неприятных ощущений. В самом начале заболевания, пациент жалуется на незначительную ноющею боль, которая со временем становится только сильнее.
Симптомы острого пульпита:
- Сильная боль в зубе, особенно ночью. Часто боль носит приступообразный характер.
- Случается, что болит вся челюсть, и без помощи специалиста трудно определить, какой именно зуб вызывает боль.
- Появление головной боли.
- Повышенная чувствительность зуба к прикосновению, к горячей или холодной пище.
- Отсутствие аппетита.
- Нарушения сна.
- Иногда повышается температура тела.
Довольно часто встречается хронический пульпит. Симптомы пульпита по сравнению с острой формой выражены гораздо меньше. Преимущественно хронический пульпит проявляется в идущем изо рта запахе, который носит гнилостный характер, повышенной чувствительности к холодному, горячему.
При гипертрофическом виде хронической формы данного заболевания в кариозной полости появляется фиброзный полип, из-за которого зуб намного сильнее подвержен различным инфекциям. Основным симптомом гангренозного пульпита является непереносимая боль, которая появляется при употреблении горячих напитков или пищи. Очень интересным является тот факт, что боль значительно снижается при употреблении холодной пищи или воды.
Обострение хронического пульпита
Обострение хронического процесса — чаще всего обостряются фиброзный и гангренозный пульпиты, при обострениях симптоматика хронической формы сочетается с клиническими проявлениями острой. Причинами могут стать — длительное пребывание на холоде, перенесенные инфекционные или вирусные заболевания, механическая или термическая травма зуба.
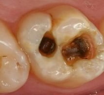
Пульпит зуба: фото
Как выглядит пульпит, на фото представлено поражение зубов при этом заболевании:

Диагностика
Пульпит диагностируют на основании субъективных жалоб и инструментального осмотра стоматолога. Во время инструментального осмотра выявляется кариозная полость с размягченным дентином, болезненная реакция пораженного зуба на изменение температуры. Перкуссия при пульпите почти всегда безболезненна.
Резкая болезненность наблюдается в месте, где кариозная полость максимально контактирует с пульпой. Данные электровозбудимости (электроодонтодиагностика) и рентгенологические исследования позволяют уточнить характер и глубину пульпита.
Лечение пульпита
Смысл терапии пульпита — ограничение воспаления и его постепенное подавление. С этой целью используют два основных направления — органосохраняющее лечение, при котором пульпа остается и хирургический метод, когда пульпа удаляется.
Методы лечения пульпита:
- Консервативный. Метод позволяет сохранить жизнеспособность пульпы. Применяют его в основном для людей молодого возраста и в случае, если заболевания пульпы обратимы (при травме). Лечение проводится такое же, как при кариесе. Основной акцент ставится на тщательной медикаментозной обработке полости зуба. В этих целях применяют антисептики, антибиотики, протеолитические ферменты. Не применяют сильнодействующие препараты, эфир и спирт.
- Хирургическое лечение пульпита. Способ кардинально решить вопрос с воспалением пульпы. При этом альвеолярный нерв вместе с сосудами удаляется. Исчезает источник гнойного расплавления тканей, затем медикаментами подавляется пульпит. Лечение проводится за несколько посещений, интервалы между которыми от одного дня до недели в зависимости от состояния зуба.
Случается такое, что зуб болит после лечения. Паниковать не стоить, так как боли, возникающие после лечения зубов — это нормальное явление и проходят за два три дня. Если же боли за этот срок не прошли и сказываются на качестве жизни, следует обратиться к специалисту.
Витальная ампутация
Позволяет сохранить жизнеспособность нервов и сосудов, питающих зуб, что обеспечивает нормальную трофику тканей зуба и предупреждает развитие периапикальных осложнений. Исследования ряда авторов показали, что после витальной ампутации корневая пульпа сохраняет свою жизнеспособность, продуцируя вторичный дентин.
Удаление сосудисто-нервного пучка и его обтурация проводится под анестезией в одно посещение при отсутствии выраженных воспалительных явлений, переходящих в периодонт. В случае распространения воспаления за пределы корневой системы в канале оставляют лечебное вещество (для антисептики и снятия воспаления).
За время лечения необходимо сделать как минимум два снимка: первый — до начала лечения, для оценки длины и структуры каналов; второй — после, для оценки качества пломбирования каналов. Депульпированный зуб впоследствии нуждается в армировании (фиксация штифта из стекловолокна, титана, серебра, пр.) и (или) покрытии коронкой, по показаниям.
Профилактика
Чтобы не допустить развития пульпита, важное значение имеет своевременное лечение возникшего на зубе кариеса. Это программа минимум. Что касается программы максимум, то следует начинать профилактику даже не с самого пульпита, а выполнять рекомендации, направленные на укрепление зубов и их защиту:
- Очищать зоны промежутков между зубами флоссами (нитями).
- Проводить очищение зубными щетками и пастами всех доступных поверхностей зубов каждый раз после еды.
- Не злоупотреблять сладким.
- Проводить профессиональную гигиену 1 раз в полгода (очищение от налета и камня).
- Проводить реминерализующую терапию и глубокое фторирование всех зубов по согласованию со стоматологом.
Выполнение этих советов не только позволит никогда не почувствовать на себе весь ужас пульпитных болей, но и предохранит зубы от развития кариеса.
эндодонтически стабилизированные имплантаты стоимость в николаеве клиника мас