Ткань, окружающая корни зуба и удерживающая его в альвеоле, получила медицинский термин — периодонт. Соответственно, ее воспаление классифицируют как периодонтит. Локализация очага воспаления обуславливает разделение периодонтита на апикальный и маргинальный.
При первом типе заболевания поражается участок периодонта, расположенный непосредственно около верхушки зубного корня. Второй тип заболевания характеризуется зарождением воспалительного процесса от края десны.
В случае отсутствия лечения периодонтита, происходит прогрессировании заболевания, и постепенно рассасывается костная ткань рядом с верхушкой корня. Формирующуюся полость заполняют грануляции. В итоге, либо происходит самопроизвольный выход гнойного скопления наружу с образованием свища, либо разрастается гранулема в образованием кисты.
Причины возникновения
Периодонтит имеет инфекционное происхождение. Инфекция — бактерии, реже грибки проникает к корню зуба через имеющиеся в нем повреждения — трещины, сколы или кариозную полость и провоцирует воспалительный процесс. Заболевания периодонта касаются буквально всех возрастных групп — от юного до пожилого возраста.
Процентные показатели, исходя из расчета на 100 случаев обращения к стоматологу по поводу болей в зубах:
- Возраст от 8 до 12 лет — 35% случаев.
- Возраст 12-14 лет — 35-40% (потеря 3-4-х зубов).
- От 14 до 18 лет — 45% (с потерей 1-2-х зубов).
- От 25 до 35 лет — 42%.
- Лица старше 65 лет — 75% (утрата от 2 до 5 зубов).
Причиной развития заболевания в большинстве случаев становится глубокий кариес и пульпит. При пульпите воспаление поражает мягкие ткани зуба — пульпу, затем распространяется на периодонт. Этот процесс способствует формированию кисты — своеобразного мешочка, заполненного жидкостью. В данном случае речь идет о серозном периодонтите.
Если периодонтит не лечится, хронические очаги инфекции в полости рта приводят к патологиям внутренний органов, среди которых лидируют эндокардиты. Все заболевания периодонта в целом, так или иначе, влияют на состояние здоровья человека и значительно снижают качество его жизни.

Классификация
- Травматический периодонтит. Этот вид воспаления обязан своему появлению различным механическим повреждениям — например, в результате резкого накусывания твердого предмета, разгрызания орехов или привычки отрывать нитки зубами. Таким образом происходит вколачивание или вывих зуба, который сопровождается сильной болью.
- Медикаментозный периодонтит — появляется из-за попадания в зубные каналы сильнодействующих лекарственных средств, применяющихся при лечении пульпита и других заболеваний. Если воспаление вызвано медикаментами, содержащими в своем составе мышьяк, диагностируют мышьяковистый периодонтит. Также заболевание может быть спровоцировано лекарствами с фенолом, формалином и некоторыми другими веществами;
- Маргинальный, и апикальный (верхушечный) периодонтит. Отличительные особенности этих двух видов поражения в том, что маргинальный, или краевой, периодонтит затрагивает в большей степени ткани пародонта, а верхушечный образуется в области верхушек корней зубов).
- Инфекционный периодонтит — развивается вследствие попадания в периодонт инфекции из-за пульпита или невылеченного кариеса. Через канал зуба микробы проникают внутрь десен и провоцируют воспалительный процесс.
Симптомы периодонтита
Острый периодонтит проявляется следующими симптомами:
- Ощущение «выросшего» зуба. При надкусывании кажется, что больной зуб длиннее других.
- Зубная боль. Боль обычно носит ноющий характер. Как правило, пациент всегда может указать, какой зуб болит. При надавливании на зуб боль усиливается, например, при жевании.
- При гнойном периодонтите боль становится пульсирующей, промежутки между болевыми приступами короткими. Боль в некоторых случаях отдаёт в ухо, висок, подглазничную область.
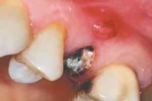
Хронический периодонтит может протекать бессимптомно. Иногда наблюдается слабая боль при надкусывании больным зубом. Почти всегда такой зуб имеет измененный, сероватый оттенок; при простукивании звук получается более глухим, чем у здорового зуба. Возможно образование свища — отверстия, через которое гной из очага воспаления вытекает в ротовую полость. Свищ чаще всего выглядит как пузырёк с бело-серым содержимым в проекции верхушки больного зуба.
Чем периодонтит отличается от пульпита зуба?
Не следует путать пульпит с рассматриваемым заболеванием. Они имеют существенное различие в локализации, несмотря на зачастую схожие симптомы. Дело в том, что пульпит также является воспалительным заболеванием, однако все процессы протекают исключительно в пульпе зуба. Пульпой называют мягкие ткани, которые расположены внутри зубов.
При любой форме пульпита в близлежащих тканях не наблюдается совершенно никаких изменений, а зуб прочно держится в десне. Периодонтит может возникнуть, как осложнение пульпита, когда инфекция проходит вниз к верхушке корня и через корневые каналы выходит наружу.
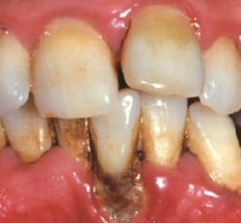
Периодонтит: фото
Как выглядит периодонтит зуба, предлагаем к просмотру подробные фото.

Хронический периодонтит
Что это такое? Хронический периодонтит может быть результатом острого процесса или же начаться самостоятельно. Обычно заболевание протекает бессимптомно. Симптомы проявляются только в случае обострения периодонтита из-за переохлаждения организма или снижения иммунитета.
Опасность хронической формы в том, что пациент медлит с обращением к врачу до проявления ярко выраженных симптомов периодонтита и, в результате, рискует потерять зуб, так как в большинстве случаев возникающие процессы, в частности кисты на корнях, оказываются необратимыми.
Хронический периодонтит имеет три формы:
- Гранулирующая форма. Проявляется болезненностью при еде или постукивании, при контакте с горячим или при давлении. Слизистая вокруг зуба слегка отечна, красная, свищевой ход от гранулемы зуба может открываться на коже лица.
- Фиброзная форма. Происходит постепенное замещение волокон связочного аппарата зуба соединительной фиброзной тканью. Симптомы периодонтита данной формы практически отсутствуют, боль бывает очень редко. Диагноз можно поставить на основе рентгеновского снимка.
- Гранулематозная форма. Обычно протекает бессимптомно, имеет свищ для оттока содержимого. На рентгене выглядит как очаг разрушения кости у верхушки зуба диаметром до 5 мм.
При обострении хронического процесса симптомы заболевания становятся аналогичными острой форме, однако после того, как появится свищ и начнется выделение гноя, процесс опять пойдет на спад, принимая хроническую форму.

Гранулированный периодонтит
Что это такое? Гранулирующий периодонтит — хроническое воспаление в периодонте, протекающее с образованием грануляционной ткани. Клиника гранулирующего периодонтита характеризуется болезненностью при надкусывании, жевании, термическом воздействии; подвижностью пораженного зуба, гиперемией и отеком десны, образованием свищей с гнойными выделениями.
Гранулирующий периодонтит диагностируется с помощью клинического обследования (осмотра, зондирования, перкуссии, пальпации), рентгенографии зуба, электроодонтодиагностики. Лечение гранулирующего периодонтита может быть терапевтическим (эндодонтическим) или хирургическим (гемисекция, ампутация или резекция верхушки корня зуба, удаление зуба).
Последствия
При отсутствии лечения острый периодонтит может привести к неприятным осложнениям — периоститу (флюсу), а затем к абсцессам и флегмонам челюстно-лицевой области. Возможно развитие острого остеомиелита или гайморита.
При прогрессировании хронического периодонтита чаще всего образуются кисты, способные в процессе роста охватывать корни соседних зубов. Также возможно прорастание кист в гайморову пазуху. Возможно нагноение кист с образованием хронического свища (как в полость рта, так и через кожу околочелюстной области).

Как лечить периодонтит?
Принципы лечения всех форм периодонтита сводятся к устранению воспаления в области верхушки корня зуба. Достигается это разными способами. Сложность лечения определяется степенью развития процесса, его распространенностью, анатомией зуба и корней, возрастом пациента.
Лечение любой формы периодонтита предусматривает обработку корневых каналов. Если зуб лечен ранее и корневую пломбу удалить невозможно, применяются хирургические методы лечения (резекция апикальной части корня).
Хронический периодонтит с обширными деструктивными изменениями лечится препаратами на основе гидрата окиси кальция, вводимыми через канал корня в очаг поражения. Важным моментом при лечении зуба является правильно выполненное пломбирование канала, которое желательно провести как можно быстрее после эндодонтической обработки. Естественно, если отсутствуют кровоточивость и экссудация из канала. В качестве дополнительных мероприятий при периодонте применяют физиотерапию, оказывающую противовоспалительный и противоболевой эффект. Если зуб ещё возможно спасти, то врач для этого сделает все возможное.
Основными целями лечения острого верхушечного периодонтита является купирование болевого синдрома, ликвидация очага воспаления и предотвращение дальнейшего распространения воспалительного процесса на другие отделы челюстно-лицевой зоны.
У меня был периодонтит. А все потому, что довела свои зубы до этого сама, с детства боялась стоматологов и не ходила, в итоге запустила свои зубы до такого состояния. 😥
Пришлось даже пить антибиотики пока ходила лечила, за это время несколько раз меняли лекарство в зубе под временной пломбой-такое большое воспаление было! В конце концов нарастили зуб на штифт, канал прочистили и пролечили. Кстати лечить сейчас совсем не больно, зря боялась столько лет идти. А зубы то не волосы-новые не отрастут!
А мне сегодня вскрыли запломбированный зуб,так как на десне уже образовался свищ, удалили нерв, целый час чистили, двойную анестезию делали. Вот неделю сказали полоскать содой, потом временная пломба и если будет все хорошо, то поставят потом постоянную. Вобщем приятного мало, денег нужно больше, нежели лечение пульпита, ну куда денешься, хорошо что хоть не больно нерв удалять было.
А я ходила постоянно к врачам, и все мне всегда говорили, что все отлично! Тут кариес, там кариес: залечивали. А тут решила брекеты поставить, и пришла в клинику к знакомым. Они снимок сделали, чистку провели, и ахнули!! Передний резец полностью умер( Бессимптомно несколько лет внутри зуба умирало все: нерв, пульпа) В общем все почистили, но зуб не удалось спасти! А все потому что врачи не увидели!!!!!!!!! Хотела бы я сейчас посмотреть им в глаза, и спросить: — Как вы людей лечите? Куда смотрите? Будем теперь с лекарствами ходить и каналы чистить..надеюсь не потемнеет((