Лакунарная ангина — форма острого тонзиллита, которая характеризуется гнойным воспалением в лакунах, то есть складках миндалин. Эта форма болезни более тяжелая, чем фолликулярная ангина. В чистом виде она встречается редко. Чаще всего она развивается на фоне фолликулярной.
К основной группе риска заболеваемости этим видом ангины относятся дети в возрасте от 5 до 12 лет. У взрослых этот тип ангины наиболее часто встречается в сочетании с другим вариантом болезни, то есть имеет место смешанный тип. Лечение лакунарной ангины у взрослых, как и у детей, проводится курсом антибиотиков, которые устраняют неприятные симптомы ангины.
Взрослые, как правило, легче переносят недуг, чем дети, но при отсутствии правильного и своевременного лечения даже у взрослых могут развиться нежелательные осложнения, в том числе миокардит, острое воспаление среднего уха, пиелонефрит, ревматизм, воспаление легких и т. д.
Причины возникновения
Почему возникает лакунарная ангина, и что это такое? Главным возбудителем являются стрептококки, но она может быть вызвана также аденовирусами и стафилококками. Именно потому это заболевание считается заразным. Передается воздушно-капельным путем при чихании, кашле больного человека или контактным путем у детей — через игрушки и прочие зараженные предметы.
Также ангину могут вызвать разнообразные хирургические вмешательства в ротовой полости и болезни зубов. Внешние факторы тоже могут вызвать заболевание. К ним относятся — переохлаждение организма, сквозняки, резкая смена температуры воздуха, сырость, загрязненность воздуха.
Особенности данной формы заболевания
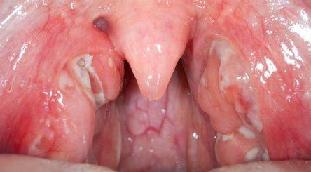
Свое название эта клиническая форма ангины получила из-за того, что при ней гнойно-воспалительный процесс локализуется в лакунах небных миндалин. В толще миндалин этих лакун достаточно много, поэтому когда продукты жизнедеятельности патогенных стрептококков вместе с некротическими массами и слущенным эпителием поднимаются наверх, на лимфатических образованиях появляются обширные участки, покрытые налетом.
Это и отличает лакунарную ангину от фолликулярной (еще одной клинической формы ангины), при которой воспаляются только некоторые фолликулы, размещенные в миндалинах, что выглядит как небольшие гнойнички на поверхности лимфатических образований.

Симптомы лакунарной ангины
Инкубационный период лакунарной ангины длиться 1-2 дня, а ее симптомы развиваются стремительно и могут проявиться за пару часов.
К основным признакам лакунарной ангины у взрослых и детей относятся:
- резкое повышение температуры тела до высоких цифр (38,5-40) с
- общие проявления инфекционного процесса в виде слабости, недомогания, быстрой утомляемости и головной боли;
- периодическими ознобами, что чаще бывает у детей;
- болевые ощущения в суставах;
- местные проявления в виде сильной боли в горле и увеличение подчелюстных лимфатических узлов.
При осмотре врач обнаружит типичные проявления воспалительного процесса в горле:
- краснота в области гортани;
- отёчность тканей в горле;
- желтовато-беловатый налёт, занимающий большую часть поверхности обеих нёбных миндалин, который легко удаляется шпателем.
Воспалительный процесс может затрагивать как одну, так и обе миндалины. Средняя продолжительность болезни составляет 5-9 дней, а полная работоспособность восстанавливается на 14-17 день. У детей лакунарная ангина имеет более тяжелое течение, сопровождается судорогами, приступами удушья, болями в животе, тошнотой, рвотой, диареей, болями в области желудка.
Последствия
Дальнейшее распространение инфекции по дыхательным путям нередко вызывает присоединение бронхита и даже пневмонии. Неадекватное лечение может спровоцировать появление хронической формы заболевания, часто — с осложнением прочими видами тонзиллита, фарингитом.
Наличие очага инфекции и протекающие гнойные процессы вызывают разнесение бактерий по всему организму, оседающих на сердце, легких, костях. Последствия такого явления очень опасны — воспаления почек (пиелонефриты, гломерулонефниты), ревматизм, артриты, миокардит, стафилококковые менингиты, генерализованное поражение лимфоузлов, абсцессы, сепсис.
Лакунарная ангина: фото
Как выглядит данная форма ангины, предлагаем к просмотру подробные фото.

Лечение лакунарной ангины
В большинстве случаев показано консервативное лечение, а при отсутствии эффекта, в случае острого увеличения миндалин, при затруднении дыхания показано хирургическое удаление миндалин.
При появлении первых симптомов лакунарной ангины больного необходимо изолировать от окружающих и обеспечить ему постельный режим (ангину нельзя переносить на ногах, это часто приводит к осложнениям). Вопрос о госпитализации стоит в зависимости от тяжести патогенеза.
Курс лечения должен назначить специалист. Он проведет опрос больного, осмотрит его горло, при помощи анализов определит возбудителя заболевания и его чувствительность к антибиотикам, после чего назначит необходимые в данном случае лекарственные препараты.
Чтобы вылечить ангину в домашних условиях рекомендуется следующие:
- Прием назначенных доктором антибактериальных препаратов.
- Для облегчения общего состояния можно принять жаропонижающие или нестероидные противовоспалительные средства. Это всем известные Аспирин, Ибупрофен, Парацетамол. Суть этого назначения — облегчение состояния больного за счет снижения температуры, уменьшения отека гортани.
- Очень важно, особенно в первые 2 дня болезни ежечасное полоскание горла антисептическими растворами — Мирамистином, Хлорофилиптом, Йодинолом, фурацилином (2 табл. на стакан воды), слабым раствором марганцовки. На стадии выздоровления можно сменить их на настои и отвары лечебных трав — ромашки, календулы, коры дуба, шалфея. Для местного лечения можно использовать различные спреи — Ингалипт, Гексорал, Тантум Верде.
- Во время лечения важно уделять большое внимание питью, чтобы не было обезвоживания.
Важно также после окончания острого периода заболевания пройти курс витаминотерапии и пробиотиков, поскольку гнойные процессы, длительная интоксикация ослабляют иммунную систему, а лечение антибиотиками нарушает естественную микрофлору кишечника.
Антибиотики
Антибактериальная терапия показана при микробной этиологии лакунарной ангины. В качестве лекарственных средств используют антибиотики, значительно реже сульфаниламидные препараты. Цель назначения препаратов — эрадикация (уничтожение возбудителя).
Правильный подбор антибиотика обеспечивает:
- полное уничтожение возбудителя;
- исключение побочных действий при различных сопутствующих ангине заболеваниях;
- баланс эффекта и безопасности антибиотика.
Препаратами первого ряда при гнойной ангине являются современные пенициллины, комбинированные с усиливающими их действие компонентами, так как они лучше всего справляются со стрептококками. К таким лекарствам относятся Аугментин, Флемоклав, Экоклав и многие другие. Допускается также прием пенициллинов в моноформе (Ампициллин, Амоксициллин).
При аллергии на пенициллины проводят лечение антибактериальными препаратами из группы макролидов (Сумамед, Азитромицин, Зитролид, Клацид). Антибиотики цефалоспорины назначают при повторяющихся ангинах или тяжелом течении болезни. К ним относятся Цефалексин, Цефтриаксон, Цефазолин, которые в стационаре нередко ставят в виде инъекций.
Необходимо пропить полный курс антибиотиков, назначенный врачом, во избежание рецидива болезни и развития осложнений. Курс приема антибиотиков при лакунарной ангине обычно составляет 7-10 дней. Если вам стало лучше по истечении 2-3 дней, и вы решаете что вылечились то ни в коем случае не отменяйте назначенный препарат.
Я даже не знала, что такая ангина бывает. Только сейчас прочитала. Обычно у меня когда начинается боль в горле я пью йодангин масло какао. Он помогает быстрее встать на ноги
А у меня такая ангина по нескольку раз в год!!!! Это ужасно!!!
Да уж, ангина та еще “радость”… Вот мне хорошо помогает в норму прийти спрей анти-ангин формула. Брызгаю им горло несколько раз в день. Очень хорошо снимает отек и боль, довольно скоро уже выздоравливаю.
Я болела такой ангиной, только не знала, что она “лакунарная”. В принципе, от обычной она ничем не отличается, горло также адски болит. Могу посоветовать все хорошие таблетки от горла Доритрицин. Быстро помогает, и обезболивает, и в целом горло проходит с ними за пару дней.
У меня только недавно была лакунарная ангина. И никакие таблетки от горла, никакие спреи и леденцы не помогут, если это действительно она!!! Только антибиотики и комплексное лечение (обработка миндалин, полоскание, жаро- и болеутоляющие средства, в том числе и нестероидные, антисептики и затем физиолечение) могут справится. Я заболела буквально за сутки. Сначала начала лечить сама — полоскала каждые 2 часа, мирамистином обрабатывала — без толку! На вторые сутки температура поднялась до 39.0 и боль стала просто невыносимая. И муж повез меня в больницу. Диагноз поставили сразу и я сдала еще кучу анализов (мазки из горла, из носа, кровь..). Сразу посавили укол кетонала и мне немного! стало легче. Температура держалась 4 суток, тело ломило, суставы — это ад! Сейчас заканчиваю лечение 10 дней. И это еще не все. Высеялся стрептококк… Надеюсь вылечусь. Намерена идти до конца! И больше никогда в жизни не болеть такой гадостью!!! И никому не желаю.
Кстати и на сайт зашла по этой причине … смотрю всю информацию теперь)
Мне при ангине доктор посоветовал висцид — он есть в форме спрея и ополаскивателя, я взяла последнюю форму, также обильное питье. Ополаскиватель прекрасно действует на боль, чувствуется облегчение уже после первого использования, воспаленность снижается. Хорошее лекарство, через некоторое время все на нет сошло, побочных эффектов не возникло, и осложнений тоже.
Да, соглашусь, при ангине можно висцид взять в виде ополаскивателя или спрея. Достойное лекарство, в составе которого одни травы. Он, как мне кажется, при ангине идеален. Помимо того, что он обладает обезболивающим свойством, висцид еще повышает местный иммунитет, и тем самым выздоровление происходит быстрее.
У меня была самая обыкновенная. Но тоже приятного мало. Очень тяжело всё переносится. Гораздо легче когда принимаешь эваларовский витамин С в шипучих таблетках 2000 мг. Облегчает симптоматику, ускоряет выздоровление. Потом в целях профилактики можно брать дозировку меньше, так что удобно.