Красота улыбки целиком и полностью зависит от здоровья зубов, поэтому крайне важно следить за состоянием десен и эмали, чтобы вовремя обнаружить проблему на ранней стадии и провести правильное лечение.
Клиновидный дефект — это деструктивный процесс, разрушающий твердые ткани зуба. Он возникает на симметрично размещенных зубах нижней и верхней челюстей. Заболевание характеризуется образованием дефектов в виде клина на малых коренных зубах и клыках. Локализацией пораженной эмали является область возле десны, то есть передняя поверхность зуба около линии десен.
Эффективное лечение клиновидного дефекта зуба может включать реминерализирующую терапию, пломбирование, установку виниров или искусственных коронок, оптимизацию окклюзии.
Причины клиновидного дефекта
Почему возникает клиновидный дефект зубов, и что это такое? Проявляется заболевание на внешней стороне поверхности зуба образованием небольшого углубления V-образного вида. При этом клиновидное остриё зуба направлено внутрь полости рта. Часто дефект проявляется на тех зубах, которые максимально нагружены процессом пережёвывания пищи. Это клыки и премоляры. Клиновидный дефект обычно наблюдается у прикорневой части зуба. Поэтому его иногда путают и диагностируют как пришеечный кариес.
В настоящее время существует несколько теорий, которые описывают причины возникновения клиновидного дефекта зубов, и наибольшее признание получили:
- Механическая теория или теория абразии основана на убеждении, что клиновидный дефект возникает под действием выраженной и постоянной механической нагрузки на эмаль зубов. Сторонники механической теории считают, что причиной истирания эмали в области шейки зубов может быть даже достаточно жесткая зубная щетка. В доказательство приводится тот факт, что у правшей прогрессия дефекта на левой половине челюсти более выражена, а у левшей — на правой.
- Физико-механическая теория (теория нагрузки) — ее приверженцы считают, что основной причиной формирования клиновидного дефекта зубов становятся различные формы нарушений прикуса. Эти нарушения встречаются в той или иной форме у 95% населения, поэтому и клиновидный дефект может стать патологией, которая может коснуться каждого человека. При изменениях прикуса нарушается нормальная биомеханика акта жевания пищи, и некоторые зубы принимают гораздо большую нагрузку, чем расположенные рядом — компьютерное моделирование процесса жевания и нагрузок, испытываемых каждым отдельным зубом , доказало, что наибольшая нагрузка (максимальное напряжение) прилагается к тому месту, где будут обнаруживаться изменения на фото — клиновидный дефект располагается в пришеечной зоне коронки зуба.
- Химическая теория — теория эрозии — по словам тех, кто поддерживает эту теорию, основным фактором, способствующим появлению такого поражения, является агрессивная среда в полости рта. Влияет слишком большая кислотность, возникающая из-за часто употребляемых газированных напитков и некоторых продуктов. Иногда причиной кислой среды становятся разные патологии желудочно-кишечного тракта, при которых часть содержимого желудка может быть заброшено в ротовую полость.
Независимо от стадии заболевания, лечение клиновидного дефекта должно предусматривать устранение травмирующих и провоцирующих факторов.
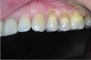
Как выглядит клиновидный дефект зубов: фото
Распознать дефект довольно просто: на части зуба, расположенной в непосредственной близости к десне, образуется легкое потемнение, которое не является кариесом. Потемнение может иметь серый или желтоватый оттенок, на ощупь является более шероховатым, нежели эмаль. Чтобы стало понятней, предлагаем к просмотру подробные фото.

Примечательно, что изъян поражает исключительно зубы, попадающие в зону линии улыбки: передние, клыки и малые коренные зубы.
Стадии развития
Клиновидный дефект зубов — медленно протекающее заболевание, характеризующееся сменой периодов прогрессирования поражения и стабилизации процесса.
При отсутствии лечения оно проходит следующие стадии:
- I стадия (начальных изменений) — клиновидный дефект еще не виден простым глазом, его можно различить только под увеличительным прибором.
- II стадия (поверхностного поражения) — клиновидный дефект определяется визуально в виде поверхностной ссадины или трещины глубиной до 0,2 мм и длиной 3-3,5 мм. Отмечается гиперестезия пораженных зубов.
- III стадия (средне выраженных изменений) — клиновидный дефект глубиной 0,2-0,3 мм, длиной до 3,5-4 мм; дефект образован двумя плоскостями, сходящимися под углом 45 градусов.
- IV стадия (глубокого распространения) — длина клиновидного дефекта превышает 5 мм. Убыль ткани нередко захватывает глубокие слои дентина; в тяжелых случаях может достигать пульпарной камеры.
Развитие и усугубление болезни происходит очень медленно. Иногда этот процесс затягивается даже на десятилетия. Если ранняя стадия, когда под сильным увеличительным стеклом можно увидеть небольшие щели или трещинки, появится около 30 лет, то последняя, четвертая, наблюдается у пациентов в пенсионном возрасте.
Лечение клиновидного дефекта
При диагностированном клиновидном дефекте зуба лечение предусматривает устранение травмирующих и провоцирующих факторов независимо от стадии заболевания. Важно также своевременно устранить нарушения прикуса.
В зависимости от стадии заболевания для его лечения могут использовать:
- При деформациях небольших размеров пломбирование не требуется. Клиновидные образования заполняются специальными стоматологическими составами, устраняющими гиперчувствительность и препятствующими дальнейшему разрушению. Обычно используется метод фторирования эмали, который подразумевает использование составов с высоким содержанием фтора или специальных аппликаций. Также назначается реминерализирующая терапия для восстановления дефицита кальция в эмали. Также хорошего результата позволяют добиться пасты с содержанием фтора. Правда, для того чтобы эффект имел пролонгированное действие, пастами необходимо пользоваться на протяжении длительного времени.
- Клиновидный дефект среднего и большого размера исправляется при помощи пломбирования. Так как это не кариозное поражение, лечение обходится без рассверливания тканей. Однако при вертикальной нагрузке на зуб, пломба выдавливается из него, поэтому часто случается ее выпадение. Поэтому для того, чтобы после лечения пломба держалась на зубе, перед пломбированием делаются поднурения эмали.
Клиновидные дефекты располагаются в придесневой области — в непосредственной близости от увлажненной слюной десны, а также от зубодесневой борозды, из которой постоянно выделяется десневая жидкость. Поэтому при пломбировании очень важно добиться полной изоляции поверхности зуба от слюны и влажного дыхания, ведь пломбировочные материалы очень чувствительны к этим факторам.
Также можно решить проблему, установив винир. Это позволит даже предотвратить рецидив. Проблема в том, что виниры обычно не слишком прочные, поэтому нагрузку могут не выдержать. Заменять их придется довольно часто.

Профилактика
Любой недуг лучше предупредить, чем лечить. Профилактика особенно важна для клиновидного дефекта, так как данный недуг на начальных стадиях практически незаметен. Поэтому нужно знать, какие меры профилактики необходимо предпринимать для того, чтобы свести к минимуму возможность возникновения болезни:
- правильная и регулярная чистка зубов;
- поочередное использование кальцевированных и фторированных паст;
- проведение реминерализирующей терапии;
- своевременное лечение зубных болезней (пародонтоза, гингивита и других);
- лечение болезней внутренних органов;
- исправление неправильного прикуса.
В заключении необходимо обратить внимание на то, что все способы и методы лечения клиновидного дефекта, перечисленные выше, применяются в каждом отдельном случае после тщательного изучения проблемы вашим стоматологом. Лечение клиновидного дефекта — достаточно индивидуальный, долговременный и трудоемкий процесс. В этом случае необходимо понимание со стороны пациента, а уж профессиональный стоматолог сделает все возможное, чтобы вернуть вам радость открытой и светлой улыбки.
гель для снятия зубного камня у людей
Любой недуг лучше предупредить, чем лечить. Профилактика особенно важна для клиновидного дефекта, так как данный недуг на начальных стадиях практически незаметен. Поэтому нужно знать, какие меры профилактики необходимо
Причин проблем с зубами конечно вагон и маленькая тележка по сути… желательно своевременно посещать стоматолога, чтобы можно купировать было всё это на ранних стадиях. Я ещё обязательно принимаю эваларовский витамин Д3 Максимум 2000-ме в мягких желатиновых капсулах. Он способствует усвоению кальция и укрепляет зубы. Покупаю в интернет-магазине фитомаркет.