Альвеолит лунки — воспалительный процесс, который при стечении ряда обстоятельств может развиться в лунке (альвеоле) удаленного зуба (в связи с этим его иногда называют также постэкстракционным альвеолитом).
При этом поражается как сама лунка зуба, так и окружающие ее ткани десны. Альвеолит лунки чаще всего выступает как осложнение после некорректного удаления зуба, составляя количественно от 25 до 40% всех осложнений после удаления зуба.
Если данная процедура прошла нормально, то процесс заживления альвеолы протекает практически бессимптомно, доставляя минимум дискомфорта в первые 2-3 дня.
Что такое альвеолит?
Почему возникает альвеолит, и что это такое? Данная болезнь всегда связана с удалением зуба.
В лунку, образовавшуюся на месте вырванного зуба, проникает инфекция, в результате чего начинают происходить воспалительные процессы. Чаще всего альвеолит возникает из-за травмирования стенки лунки или десны.
Причины альвеолита зуба
Инфицирование зубной лунки после удаления может быть результатом следующих основных факторов:
- В большинстве случаев альвеолит появляется из-за травмирования стенок лунки. Они довольно тонкие, поэтому при неаккуратном обращении можно повредить или полностью выломать их. Помимо этого, при разрушении костной ткани обломки могут попасть в рану, что вызовет инфицирование. Риск альвеолита значительно увеличивается при удалении зуба мудрости.
- Еще одна наиболее частая причина альвеолита — это инфекция. Болезнетворные бактерии, провоцирующие воспаление, могут быть занесены в открытую рану после удаления зуба извне — стоматологическими инструментами. Риск проникновения инфекции в альвеолу повышается у людей с проблемами полости рта (наличие кариозных зубов, пародонтит, гингивит, большое количество налета на зубах). Именно поэтому стоматологи не рекомендуют удалять зубы при наличии ОРВИ, гриппа, ангины и т.п.
Также альвеолит лунки может развиваться при:
- снижении иммунитета;
- недостаточной гигиене полости рта и попадание в лунку зубного налета;
- если в лунке осталась часть корня зуба (например, корень обломался во время операции);
- несоблюдении рекомендаций врача — удалении сгустка крови частичками твердой пищи, жидкостью при частом полоскании, употреблении горячей или острой пищи сразу после удаления зуба;
- если в области верхушки корня зуба была киста, которая после удаления зуба осталась в лунке;
- повышенной кровоточивости, связанной с нарушением свертывающей способности крови или с сильным послеоперационным кровотечением после травматичной операции.
Альвеолит обычно возникает при удалении зуба вследствие запущенной формы кариеса, пульпита, флюса. Также большое значение в его развитии играет возраст. Чаще такое осложнение после удаления зуба возникают у пожилых лиц.
В группу риска развития болезни входят люди с ослабленной защитной функцией организма, имеющие положительный ВИЧ-статус, патологии эндокринной системы и связанные с нарушением свертываемости крови заболевания.
Симптомы
Как правило, на начальной стадии альвеолит практически незаметен, однако он постепенно прогрессирует, то есть распространяется в ширину и глубину. Первые симптомы альвеолита наблюдаются через 2-3 дня после удаления зуба.
Поэтому главными симптомами в начальной стадии будут:
- ноющая боль, которая может со временем затихать, но усиливаться во время еды;
- припухлость, покраснение;
- болезненность десны в области лунки;
- может возникнуть отек, особенно — после удаления зуба мудрости.
Пущенный на самотек альвеолит может вызывать и более серьезные симптомы, такие как слабость, повышение температуры до 37,5 — 38 градусов, повышенную утомляемость. Могут воспалиться лимфатические узлы, появиться чувствительность зубов, неприятный запах, ощущаться горьковатый привкус, а боль — иррадиировать в ухо или, например, в височную область.
Альвеолит — достаточно сложное заболевание, протекающее очень болезненно для человека. Чем больше оно запущено, тем неприятнее симптомы болезни и тем сложнее его излечить. Поэтому необходимо обращаться к врачу при малейших подозрениях на альвеолит. Чем раньше будет оказана медицинская помощь, тем быстрее наступит выздоровление и тем ниже вероятность развития тяжелых осложнений.
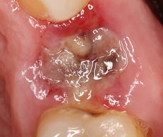
Альвеолит: фото
Фото, сделанные стоматологами, демонстрируют, что альвеолит выглядит как пустая лунка, в которой находятся остатки пищи и частички отмерших тканей. В то время как в лунке, заживающей без осложнений, можно увидеть темно-красный кровяной сгусток.

Как лечить альвеолит
Лечение альвеолита после удаления зуба надо начинать в период, когда болезнь только заявила о себе. В противном случае, длительность и цена терапии будут существенно выше. Определить, что у вас именно альвеолит, а не какое-то другое заболевание, может только стоматолог. Он же назначит вам соответствующее лечение.
Заниматься этим самостоятельно в домашних условиях, применяя полоскания или антисептические препараты недопустимо. Вы можете снять какие-то симптомы и при этом загнать болезнь вовнутрь, где она будет дальше развиваться, вовлекая в процесс все больше тканей и представляя все большую угрозу вашему здоровью.
Тем не менее, пока вы не попали на прием к стоматологу, понизить болевые ощущения можно с помощью обезболивающих препаратов:
Перед началом лечения пациенту назначается рентгенография. Снимок обозначит наличие инородных элементов или осколков зуба в полости десны. Далее выполняется обезболивание, и следующие манипуляции:
- Очищение лунки вырванного зуба и вымывание гнойных выделений специальными растворами.
- Местные аппликации с анальгетиками и антимикробными средствами.
- Полоскание ротовой полости антисептическими растворами.
- Физиотерапевтические процедуры для скорейшего заживления ранки (после снятия воспаления).
Если лечение начато вовремя, то в течение недели воспалительный процесс купируется, ранка покрывается защитным эпителием, что говорит о положительной динамике лечения. После этого, пациент должен соблюдать лечебные рекомендации и регулярно посещать специалиста для осмотра.

Профилактика
Профилактические мероприятия, которые помогут предотвратить развитие альвеолита при успешном удалении зуба, должен осуществлять сам пациент. То есть он должен тщательно следовать рекомендациям врача.
Чтобы процессы заживления лунки проходили в нормальном режиме, не следует ковырять рану, самовольно скоблить десну, выдавливать сгусток крови, высасывать его и чем-либо повреждать. Особенно важно хотя бы несколько дней не пережевывать пищу той стороной челюсти, где был удален зуб, чтобы сгусток крови находился в сохранности.
Стоматолог, со своей стороны, может предотвратить развитие осложнения, соблюдая правила асептики и антисептики, а так же выполняя операцию в соответствии с правилами техники удаления. Образование кровяного сгустка при помощи сжатия краев лунки — так же является обязательным условием успешного заживления раны.